Cor Triatriatum Dexter chez un chat
Examen Clinique
- Normotherme
- Examen de l’appareil cardiovasculaire sans anomalie
- Examen de l’appareil respiratoire sans anomalie
- Examen de la cavité buccale sans anomalie
- Palpation abdominale sans anomalie
- Examen neurologique sans anomalie
L’examen clinique est sans anomalie : aucune orientation diagnostique
Hypothèses diagnostiques
La liste des hypothèses est alors vastes. Elle se base sur l’orientation anamnestique. La liste présentée ici n’est pas exhaustive.
- Pharyngite ou œsophagite
- Mégaoesophage ou hernie hiatale
- Corps étranger ou masse pharyngée/œsophagienne
- Shunt porto systémique…
Examens complémentaires
Bilan biologique

Compte tenu de cette liste très importante d’hypothèses diagnostiques, on réalise un bilan global de première intention.
Ici on réalise un dosage des ac biliaires à jeun et post prandiaux qui sont dans les valeurs usuelles ce qui nous permet d’exclure de manière relativement confortable l’hypothèse de SPS
Bilan radiographique avec transit baryte
- Absence d’anomalie
- Mécanique ou fonctionnelle
- Pharyngée ou œsophagienne mais…
La radiographie du thorax montre une opacité médiastinale liquidienne à la base du cœur et sur son bord caudal (effet de silhouette positif)
- Dilatation cavité cardiaque ?
- Veine cave caudale ?
- Masse médiastinale ?
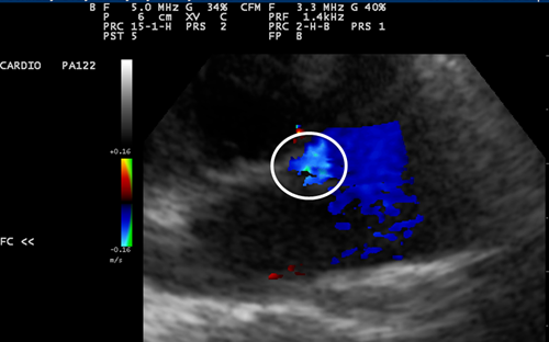
Bilan échographique
On a une sensation de bombement a certains endroits de l’AD

Doppler couleur
Flux turbulent qui confirme qu’il existe bien ici une membrane avec une turbulence.
Diminution de diamètre peu importante car vitesse peu importante

Bilan échocardiographique


Bubble study veine saphène externe

Synthèse
- Confirmation de l’hypothèse de
Cor triatriatum dexter
- Origine du ptyalisme toujours indéterminée ??
⇒ Exploration échographique
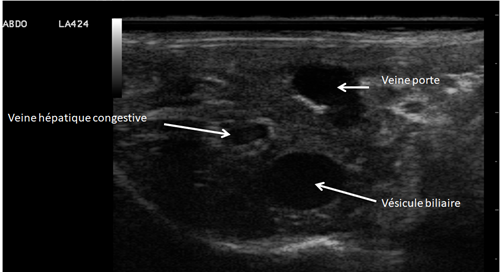
Échographie abdominale
Absence d’ascite et de modification visible à l’échographie du système digestif.

À ce stade, on suspecte que l’hypertension portale mise en évidence ici puisse être à l’origine d’une hypoxie digestive et donc d’éventuelle manifestation par un ptyalisme.
Diagnostic
- Cor Triatriatum Dexter
- Hypertension portale
Traitement
Compte tenu de la dilatation atriale droite majeure, le risque de thrombo embolie nous a semblé important, un traitement thromboprophylactique a donc été mis en place
- Aspirine 5 mg tous les trois jours
- Furosémide 2mg/kg/j
- Métoclopramide 0,4 mg/kg BID 10 jours

Un suivi mensuel a été décidé
La propriétaire a avance le rendez-vous, depuis la veille quand elle nous présente de nouveau l’animal, CTe abattue, douleur abdo à l’examen clinique.
Controle écho -> pas d’aggravation de l’HP mais impression de volutes dans l’AD -> thrombo embolie ???
Refus d’investigations supplémentaires et même d’hospitalisation, mise en place d’un traitement antalgique et absence d'amélioration après deux jours, euthanasie décidée par la propriétaire.
Autopsie
Examen necropsique, absence d’ascite, pas de dilatation majeure de la veine cave caudale et pas de visualisation de thrombus
Discution
- Principal intérêt du cas
-
1ère description chez le chat
- Origine du motif de consultation
Le cor triatriatum
Malformation cardiaque congénitale rare
Membrane ⇒ Compartimentalisation Atriale
Association possible avec d’autres anomalies cardiaques
Malformation cardiaque congénitale rare
Cor triatriatum sinister
- Commun chez l'homme
- Rapporté chez le chien et le chat
- Anomalie de développement avec défaut d'incorporation de la "chambre" veineuse pulmonaire commune.
Cor triatriatum dexter

⇒ Insuffisance cardiaque congestive droite
- Rapporté chez l'homme et le chien
- Persistance de valve du sinus veineux
Le CTD est due à la persistance d’une membrane fibreuse au sein de l’AD, cette membrane est probablement le résidu d’une valve du sinus veineux.
Il existe de nombreuses variantes du CDT selon la position de la membrane par rapport aux coronaires….
Du fait de la présence de cette membrane dont l’ouverture peut être plus ou moins grande, le retour veineux est compromis.
Le Cor Triatriatum Dexter pathogénie

Le CTD est due à la persistance d’une membrane fibreuse au sein de l’AD, cette membrane est probablement le résidu d’une valve du sinus veineux.
Il existe de nombreuses variantes du CDT selon la position de la membrane par rapport aux coronaires….
Du fait de la présence de cette membrane dont l’ouverture peut être plus ou moins grande, le retour veineux est compromis.
Le Cor Triatriatum Dexter : Quand y penser ?
- Jeune chien/chat avec ascite
Ascite probablement absent dans notre cas car peu de différentiel de pression entre les deux chambres atriales.
Principal motif de consultation -> ascite chez un jeune chien sans souffle cardiaque audible !!!!!
- Absence de distension jugulaire droite
- Absence de souffle cardiaque audible
- Echographie : congestion hepatique / H.portale
- Diagnostic différentiel
Le syndrome de Budd Chiari est secondaire à l’obstruction du flux veineux hépatique.
Causes : La thrombose des veines hépatiques.
Le plus fréquemment, il s’agit d’un thrombus cruorique, cependant l’hypothèse d'une endophlébite primitive ou d’une malformation congénitale a aussi été évoquée.


Le Cor Triatriatum Dexter : Comment le traiter ?
Traitement chirurgical versus médical ?
Traitement chirurgical
- Atriotomie +/- circulation extra corporelle
- Traitement à priori recommandé
- Risques per et post opératoires importants
- Dilatation par balonnet sous contrôle scopique
- Traitement moins invasif
- Plusieurs interventions nécessaires
Et notre chat ? Lien avec le ptyalisme
- Suspicion de Gastropathie portale hypertensive
- > 50% chez l'homme
- Pathogénie peu connue

- Risque ulcérogène
- Examen histopathologique évocateur
- Ectasie vasculaire
- Absence d'inflammation
Conclusion
- Première description chez le chat à notre connaissance
- Penser à un CTD d'ascite chez un jeune animal malgré l'absence de souffle cardiaque ?
Remerciements au Dr I. Testault, CHV Atlantia