Échographie de la persistance du canal artériel
La persistance du canal artériel est une cardiopathie congénitale fréquente.
L’examen échocardiographique permet son identification et sa caractérisation.

Photo 1 - Persistance du canal artériel visible en mode Doppler couleur sur une vue petit axe transaortique par abord parasternal droit.

Photo 2 - Persistance du canal artériel, mode Doppler couleur sur une vue crâniale par abord parasternal gauche.
La persistance du canal artériel (PDA) est une malformation cardiaque congénitale fréquente chez le Chien (20 % des cas de cardiopathie congénitale). Elle est caractérisée par la persistance du canal vasculaire fœtal reliant l’aorte au tronc pulmonaire. Ce canal permet le shunt du sang de la circulation pulmonaire vers la circulation générale, dérivant ainsi les poumons non encore oxygénés chez le fœtus, et s’obture normalement dans les premiers jours après la naissance.
Lors d’anomalies de développement de la paroi du canal celui-ci ne s’obture pas correctement et reste perméable, créant ainsi une communication anormale (shunt) entre les circulations gauches et droites.
L’échocardiographie est l’examen complémentaire de choix dans la mise en évidence du canal et l’évaluation de ses conséquences anatomiques et hémodynamiques [1].

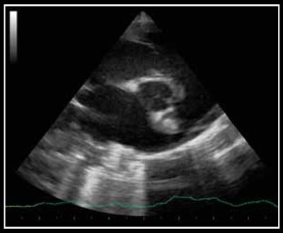
Photo 3 - Persistance du canal artériel, mode bidimensionnel sur une coupe longitudinale des gros vaisseaux par abord parasternal crânial et dorsal gauche.

Photo 4 - Turbulences importantes dans le tronc pulmonaire, mode Doppler couleur, coupe transaortique par abord parasternal droit

Photo 5 - Mesure des trois principales dimesions du canal artériel : largeur à la naissance et à l’abouchement, longueur.

Photo 6 - Détermination du sens du flux en mode Doppler couleur: shunt gauche-droit avec des turbulences importantes dans le tronc pulmonaire. Mesure simultanée des dimensions du canal en mode bidimensionnel.

Photo 7 - Mesure de la vitesse du flux de canal en mode Doppler continu. Flux typique de canal systolo-diastolique avec une phase diastolique de plateau descendant.

Photo 8 - Détermination du sens du flux en mode Doppler couleur : shunt droit-gauche avec des turbulences dans l’aorte. Coupe basale abord parasternal gauche.

Photo 9 - Dilatation atriale gauche.

Photo 10 - Dilatation ventriculaire gauche.

Photo 11 - Insuffisance mitrale minime à modérée. Coupe 4 cavités abord parasternal gauche.

Photo 12 - Dilatation du tronc pulmonaire. Coupe transaortique abord parasternal droit. TP/Ao > 1.

Visualisation directe du canal
Le canal artériel est visualisé dans 96 % des cas en mode bidimensionnel ou en mode Doppler couleur sur une coupe petit axe transaortique par abord parasternal droit (Photo 1), sur une coupe petit axe par abord parasternal crânial gauche (Photo 2), ou plus facilement sur une coupe longitudinale des gros vaisseaux (aorte et tronc pulmonaire) par abord parasternal crânial et dorsal gauche (Photo 3).
Dans la majorité des cas des turbulences importantes sont visibles dans le tronc pulmonaire (Photo 4) [1,2].
Mesure de la taille du canal
La mesure de la taille du canal est réalisée en mode bidimensionnel ou en mode Doppler couleur, après identification. Les deux modes de mesures sont valables, la mesure en mode bidimensionnel étant la plus précise.
La mesure concerne la longueur du canal, la largeur à sa naissance sur l’aorte, et la largeur à son abouchement au niveau du tronc pulmonaire (Photo 5) [2].
Détermination du flux de canal
Du fait du différentiel de pression entre aorte et tronc pulmonaire, le shunt est le plus souvent gauche-droit. Ce shunt est visible en mode Doppler couleur (Photo 6), et mesurable en mode continu (Photo 7).
Classiquement il s’agit d’un flux systolodiastolique typique, avec une phase de plateau descendant en diastole (Photo 7) [2,3].
Dans quelques cas, le shunt peut être inversé dans le sens droit-gauche lors d’hypertension artérielle pulmonaire par exemple (Photo 8).
Identification des conséquences anatomiques et hémodynamiques
Les conséquences anatomiques et hémodynamiques cardiaques de la persistance d’un canal artériel peuvent aboutir au développement d’une insuffisance cardiaque.
Quatre types de canals sont décrits détaillant ces différentes conséquences (Tableau 1). En particulier, peuvent être présents des dilatations cavitaires (Photos 9 et 10), une insuffisance mitrale (Photo 11), une dilatation du tronc pulmonaire lors d’hypertension artérielle pulmonaire (Photo 12) [2,4].
Traitement de la persistance d’un canal artériel
Le traitement du PDA est chirurgical. L’occlusion du canal peut être réalisée chirurgicalement par ligature classique, ou pose de clips vasculaires, ou embolisation d’un “coil” ou d’une prothèse
d’Amplatzer®[H] sous cathétérisme interventionnel. Le taux de mortalité per-operatoire est compris entre 2,5 % et 5,6 % quelle que soit la technique choisie.
L’occlusion complète du canal lors de la première intervention est obtenue dans 57 % à 94 % des cas traités chirurgicalement.
L’examen échocardiographique est indiqué dans le contrôle postopératoire immédiat de la bonne occlusion du canal, et dans le suivi de la normalisation ou de la persistance éventuelle des conséquences anatomiques (dilatations cavitaires, insuffisances valvulaires) [3,5].