La ponction péricardique
La ponction péricardique est un acte de l’urgence réalisé après mise en évidence d’un épanchement péricardique (Photo A).
La présence de liquide dans le sac péricardique peut être à l’origine d’une tamponnade et d’un collapsus cardiovasculaire.
Cet acte doit être réalisé dans les meilleurs délais. Son évacuation complète permet la restauration immédiate de la fonction cardiaque normale (compliance ventriculaire droite), et améliore ainsi le pronostic vital de l’animal.
Épanchement péricardique
Le matériel
- Cathéter pour grands animaux stérile, diamètre 13G, 10,5 cm long ou 18G, 10,5 cm long, en fonction de la taille de l’animal
- Seringue de 60 mL pour l’aspirationévacuation
- Robinet à trois voies et tubes de perfusions permettant de réaliser un circuit d’aspiration-évacuation
- Seringue de 10 mL pour le recueil des prélèvements, aiguille
- Lames de microscopes, tube sec, tube EDTA pour le traitement des prélèvements en vue de l’analyse cytologique

Photo 1 - Positionnement et tonte du patient.
L’animal est placé en décubitus latéral gauche.
L’hémithorax droit est tondu, nettoyé et désinfecté (bétadine solution® [H] ou hibitane solution®).
Il est préférable d’effectuer la ponction sous tranquillisation ou mieux sous anesthésie générale (bien qu’une ponction sous anesthésie locale puisse être suffisante).

Photo 2 - Mise en place d’un champ stérile
La ponction nécessite des conditions optimales de stérilité (à défaut de propreté…).
Un champ stérile est positionné au niveau de l’hémithorax crânial droit.
L’opérateur est équipé de gants stériles.

Photo 3 - La ponction proprement dite
La ponction est réalisée dans le 4e espace intercostal, à la limite du 1/3 moyen et le 1/3 inférieur du thorax. Le cathéter est enfoncé perpendiculairement à travers les muscles intercostaux juste en avant de la 5e côte après une petite tunnellisation de la peau. Son mandrin est retiré.
La bonne position du cathéter dans l’espace péricardique est vérifiée par l’aspiration d’une petite quantité de liquide.
Des prélèvements sont réservés pour l’analyse cytologique (étalements sur lame, tube sec, tube EDTA).
L’introduction du cathéter de ponction peut être suivie et vérifiée par un guidage échographique, bien que la ponction “à l’aveugle” (c’est-à-dire. sans guidage échographique) ne présente pas de difficultés.

Photo 4 - Aspiration du liquide d’épanchement
Le montage d’aspirationévacuation est positionné sur le cathéter et la ponction est réalisée.
Le contenu péricardique est aspiré dans la seringue et rejeté à l’extérieur par l’intermédiaire de ce montage.
Quatre-cent à 500 mL sont les quantités de liquide classiquement recueillies chez les animaux de grand format.

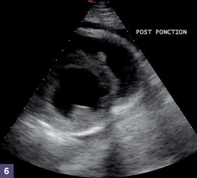
Photo 5 - Fin de la ponction et retrait du cathéter. (Photos 5 & 6)
A la fin de la ponction, la bonne vidange du liquide d’épanchement est contrôlée échographiquement.
La ponction est rarement totale, et une petite quantité de liquide persiste dans l’espace péricardique.
Le cathéter est retiré délicatement, suivie d’une légère compression du site de ponction.
Il faut s’assurer de la bonne étanchéité de la cavité thoracique après retrait du cathéter.

Photo 6
Conclusion
L’habitude de la manipulation et l’expérience du manipulateur facilitent l’exécution de la ponction péricardique qui devient un acte routinier. Néanmoins, elle est à réaliser dans un environnement
permettant une réanimation rapide si nécessaire.
Les principales complications d’une ponction péricardique sont les troubles du rythme, souvent réversibles, lors de contact du cathéter avec l’épicarde, et les traumatismes du tissu pulmonaire.