Notre avis de confidentialité a été mis à jour – en savoir plus.

Mesures en échocardiographies

Objectifs pédagogiques

  • Décrire les différentes méthodes de mesure de l’atrium gauche chez le Chien et le Chat.
  • Analyser, critiquer et comparer ces différentes méthodes de mesure pour la pratique courante

Auteur: Dr. E. Bomassi. 13-05-2008
Centre Hospitalier Vétérinaire des Cordeliers, 29 avenue du Maréchal Joffre, 77100 Meaux.
E-mail: ebomassi@chvcordeliers.com
Cet article a été publié dans : Pratique Vet (2008) 43: p 248-251

Les mesures en échocardiographie :

Mesure de la taille de l’atrium gauche et du rapport Atrium Gauche / Aorte : AG/Ao

photo 1

Photo 1

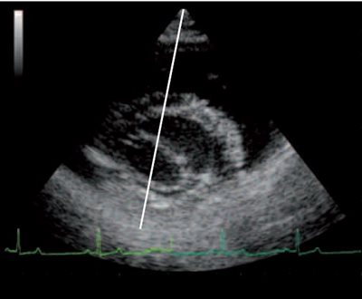
Coupe petit axe transventriculaire par abord droit mode bidimensionnel : positionnement de la ligne de tir Temps Mouvement (TM) perpendiculaire aux structures cardiaques choisies (parois et cavités ventriculaires).

Photo 2

Défilement du mode TM à partir de la coupe petit axe transventriculaire. Repérage des différentes structures cardiaques intéressées (parois et cavités) et visualisation de leurs mouvements lors du cycle cardiaque alternant systoles et diastoles.

Abréviations des photos 1 et 2 : PPVD : paroi postérieure ventriculaire droite ; VD : cavité ventriculaire droite ;
SIV : septum interventriculaire ; VG : cavité ventriculaire gauche ; PPVG : paroi postérieure ventriculaire gauche.

Le précédent article d’échographie (PratiqueVet (2008) 43: 92-94) a traité des coupes normales bidimensionnelles par abord droit.
Ces coupes sont utilisées pour une évaluation anatomique et morphologique du cœur.

C’est à partir de ces coupes que sont obtenues la plupart des mesures simples, à la fois en mode bidimensionnel, mais aussi en mode Temps Mouvement (TM).

Rappels sur le mode Temps mouvement

Le mode Temps mouvement (TM) est un mode d’imagerie particulier dérivé du mode bidimensionnel et qui permet de suivre les mouvements de toute structure cardiaque choisie selon une échelle de temps.

Le principe

À partir d’une coupe standard bidimensionnelle, un axe de tir TM (ligne de tir) est choisit et positionné perpendiculairement aux structures étudiées (PHOTO 1).
Le mode TM est exécuté, ce qui permet de suivre en fonction du temps, et donc tout au long du cycle cardiaque alternant systole et diastole, l’ensemble des structures cardiaques (parois et cavités)
situées sur le long de la ligne de tir choisie (PHOTO 2).

Ce mode est particulièrement utilisé pour la réalisation de mesures d’épaisseurs du myocarde ou de tailles des cavités.

Mesures de la taille de l’atrium gauche

La taille de l’atrium gauche est la mesure la plus fréquemment réalisée.

photo 3

Photo 3

Coupe petit axe transaortique par abord droit mode bidimensionnel : positionnement des trois feuillets sigmoïdes de la valve aortique : CG : coronaire gauche ; CD : coronaire droit ; NC : non coronaire.

Photo 4

Coupe petit axe transaortique par abord droit mode bidimensionnel : positionnement des axes de mesures pour le diamètre aortique et le diamètre atrial selon la “méthode suédoise”.

Son évaluation est surtout intéressante lors de dilatation atriale gauche, même si l’interprétation qui peut en être faite est sujette à variations, et fonction de la cardiopathie envisagée (maladie valvulaire mitrale, cardiomyopathie dilatée ou hypertrophique, cardiopathie congénitale,…).

Il existe de nombreuses méthodes de mesures pour l’évaluation de la taille de l’atrium gauche (différentes coupes, mode bidimensionnel, mode TM).

La plupart de ces méthodes utilisent sa comparaison avec les dimensions de l’aorte par le calcul du rapport AG/Ao.

Mesure en mode bidimensionnel coupe petit axe transaortique : “méthode suédoise”

La mesure de l’atrium gauche se réalise à partir d’une coupe petit axe transaortique par abord droit (PHOTO 3).
Le diamètre aortique se mesure le long de la commissure entre la valve non coronaire et la valve coronaire gauche(PHOTO 4).
Le diamètre atrial se mesure le long de la commissure entre valve non coronaire et la valve coronaire gauche. La “ligne de mesure” se situe ainsi dans la continuité de la mesure aortique (PHOTO 4).
Le temps de mesure est celui du début de la diastole (protodiastole, juste après l’onde T).
Les valeurs usuelles du rapport AG/Ao sont [1] :
AG/Ao = 1,03 ± 0,09 (moyenne ± SD), avec un maximum de AG/Ao=1,27.
Cette méthode est étudiée seulement chez le Chien, et seulement dans la race Cavalier King Charles.

photo 5

Photo 5

Coupe petit axe transaortique par abord droit mode bidimensionnel : positionnement des axes de mesures pour le diamètre aortique et le diamètre atrial selon la “méthode américaine”.

Photo 6

Coupe grand axe cinq cavités par abord droit mode bidimensionnel : positionnement des axes de mesures pour le diamètre aortique et le diamètre atrial.

Photo 7

Coupe petit axe transaortique par abord droit : positionnement de l’axe de tir TM.

Photo 8

Défilement TM et repérage des différentes cavités : AG : atrium gauche ; Ao : aorte. Positionnement des axes de mesures de l’AG et de l’Ao.

Mesure en mode bidimensionnel coupe petit axe transaortique : “méthode américaine”

La mesure de l’atrium gauche se réalise à partir d’une coupe petit axe transaortique par abord droit.
Le diamètre aortique se mesure le long de la commissure entre la valve non coronaire et la valve coronaire droite (PHOTO 5).
Le diamètre atrial se mesure le long de la commissure entre valve non coronaire et la valve coronaire gauche (PHOTO 5).
Le temps de mesure est celui de la 1re image après la fermeture de la valve aortique.

Les valeurs usuelles du rapport AG/Ao chez le Chien sont [2] :
AG/Ao = 1,31 (50th percentile)
Minimum = 0,86 (5th percentile)
Maximum = 1,57 (95th percentile).

Dans cette espèce, cette méthode est étudiée toutes races confondues.
Elle est également étudiée chez le Chat.
Les valeurs usuelles sont [3] :
AG/Ao = 1,18 ± 0,11 (moyenne ± SD).

Mesure en mode bidimensionnel coupe grand axe

La mesure se réalise à partir d’une coupe grand axe 5 cavités par abord droit.
Le diamètre aortique se mesure perpendiculairement au grand axe de l’aorte (PHOTO 6).
Le diamètre atrial se mesure selon sa plus grande dimension, parallèle au plan de l’anneau mitral (PHOTO 6).
Le temps de mesure est celui de la 1re image avant ouverture de la valve mitrale.

Les valeurs usuelles du rapport AG/Ao sont [2] :
AG/Ao = 1,66 (50th percentile)
Minimum = 1,11 (5th percentile)
Maximum = 1,99 (95th percentile).

Dans cette espèce cette méthode étudiée toutes races confondues.
Elle est également étudiée chez le Chat.
Les valeurs usuelles sont [3] :
AG/Ao = 1,41 ± 0,14 (moyenne ± SD).

Mesure en mode TM coupe petit axe transaortique

La mesure est obtenue sur un défilement TM à partir d’une coupe petit axe transaortique par abord droit (PHOTOS 7 ET 8).
Le diamètre aortique se mesure en télédiastole (début de l’onde Q). 
Le diamètre atrial gauche se mesure en télésystole (fi n de l’onde T).

Les valeurs usuelles du rapport AG/Ao chez le Chien sont [1] :
AG/Ao = 1,01 ± 0,13 (moyenne ± SD).

Dans cette espèce, cette méthode est étudiée uniquement dans la race Cavaliers King Charles.
Elle est également étudiée chez le Chat. Les valeurs usuelles sont [3] :
AG/Ao = 1,29 ± 0,13.

Photo 9

Coupe grand axe cinq cavités par abord droit : positionnement de l’axe de tir TM.

Photo 10

Défilement TM et repérage des différentes cavités : AG : atrium gauche ; Ao : aorte. Positionnement des axes de mesures de l’AG et de l’Ao.

 

Mesure en mode TM coupe grand axe 5 cavités

La mesure est obtenue sur un défilement TM à partir d’une coupe grand axe 5 cavités par abord droit (PHOTOS 9 ET 10).
Le diamètre aortique se mesure en télédiastole (début de l’onde Q).
Le diamètre atrial gauche se mesure en télésystole (fi n de l’onde T);

Les valeurs usuelles du rapport AG/Ao chez le Chien sont [4] :
AG/Ao = 0,99 ± 0,1 (moyenne ± SD).
Cette méthode est étudiée uniquement chez le Chien, toutes races confondues.

Bilan des méthodes de mesures de la taille de l’atrium gauche et du rapport AG/Ao

Les précédents paragraphes révèlent la possibilité de multiples méthodes de mesures de la taille de l’atrium gauche et du calcul du rapport AG/Ao.

Le tableau 1 récapitule les valeurs usuelles de ces différentes méthodes.
Il peut être remarqué que les valeurs obtenues en mode bidimensionnel coupe grand axe par abord droit sont supérieures aux valeurs des autres méthodes confondues, bidimensionnelles
et TM.
Par ailleurs, il apparaît que les méthodes de mesures bidimensionnelles sont plus précises que les méthodes de mesures TM, car l’axe de tir TM n’est pas toujours parfaitement perpendiculaire
aux cavités mesurées, ce qui fausse alors les mesures.
En particulier, le TM obtenu à partir d’une coupe petit axe transaortique mesure plus facilement la taille de l’auricule gauche, plutôt que la taille de l’atrium gauche dans sa plus grande dimension (PHOTOS 7 ET 8).

La multiplicité des méthodes de mesure laisse envisager la possibilité qu’il n’existe pas une méthode unique et idéale utilisable à la fois chez le Chien et le Chat, toutes races confondues.
Selon l’opinion de l’auteur, les deux méthodes à retenir principalement sont celles utilisant une mesure directe de l’Ao et de l’AG en coupe petit axe transaortique : “suédoise” et “américaine”.
La “méthode américaine” emporte la préférence de l’auteur car elle est celle qui a été étudiée chez le Chien toutes races confondues et chez le Chat, contrairement à la “méthode suédoise” qui n’a été étudiée que chez le Chien, et uniquement dans la race Cavalier King Charles.
Le choix d’une méthode se fait ainsi de façon éclairée, chacune d’entre elle possédant ses intérêts et ses limites.
Le manipulateur expérimenté utilise toujours la même méthode, afin d’être comparable d’un examen à l’autre, d’un animal à l’autre, et reproductible, à la fois chez le Chien et chez le Chat.
Il est important de respecter alors rigoureusement les critères de la méthode choisie : coupe standard, placement des curseurs, temps de mesure (nécessité d’un défilement ECG simultané pour le calage du moment du cycle.

tableau 1
  • Il existe plusieurs méthodes validées de mesures de l’atrium gauche chez le Chien et le Chat.
  • Chaque méthode nécessite une démarche rigoureuse (temps du cycle, placement des curseurs,…).
  • Les valeurs usuelles de la dimension atriale et du rapport AG/Ao sont très variables d’une méthode à l’autre.
  • En pratique les méthodes de mesures en petit axe mode bidimensionnel semblent les plus pertinentes.
  • Chaque praticien choisit la méthode la plus adaptée qu’il utilise systématiquement afin de réduire la variabilité des mesures.

1. Hansson K et coll (2002). Left atrial to aortic root indices using two-dimensional and M-mode echocardiography in Cavalier King Charles spaniels with and without left atrial enlargement. Vet Radiol & Ultrasound 43: 568-75.
2. Rishniw M, Erb HN (2000). Evaluation of four 2-dimensional echocardiographic methods of assessing left atrial size in dogs. J Vet Intern Med 14: 429-35.
3. Abbott JA, Maclean HN (2006). Two-dimensional echocardiographic assessment of the feline left atrium. J Vet Intern Med 20: 111-9.
4. Brown DJ et coll (2005). Quantitative echocardiographic evaluation of mitral endocardiosis in dogs using ratio indices. J Vet Intern Med 19: 542-52.

Les mesures ventriculaires

photo 1 photo 2

Photo 1

Coupe petit axe transventriculaire par abord droit : placement de la ligne de tir TM.

Photo 2

Coupe grand axe 4 cavités par abord droit : placement de la ligne de tir TM.

Le précédent article (ci-dessus) traitait des mesures bidimensionnelles et TM des dimensions de l’atrium gauche, et de son rapport calculé avec l’aorte.
Cet article poursuit l’étude des mesures réalisées en mode bidimensionnel et en mode TM s’intéressant aux mesures ventriculaires.

Les mesures ventriculaires en mode TM

Ce mode échocardiographique particulier (cf. précédent article) est le mode de choix pour les mesures ventriculaires. Il permet d’évaluer les épaisseurs du myocarde ventriculaire et les dimensions des cavités cardiaques durant tout le cycle cardiaque, en systole et en diastole.

Issus de ces mesures, sont aussi calculés de nombreux indices aux intérêts variables.

Méthode de mesure des valeurs ventriculaires

Le mode TM est obtenu à partir d’une coupe petit axe transventriculaire par abord droit (Photo 1) ou d’une coupe grand axe 4 cavités par abord droit (Photo 2).

L’axe de tir TM est placé perpendiculairement à l’axe du septum et symétrique par rapport aux piliers de la mitrale.

Le défilement TM est ainsi obtenu indifféremment de l’une ou l’autre coupe, et les différentes portions des structures cardiaques repérées (Photo 3).

Les mesures des dimensions et épaisseurs ventriculaires systoliques et diastoliques sont effectuées en télédiastole (début de l’onde Q) et en télésystole (fin de l’onde T) (Photo 4).

Les valeurs normales sont variables, dépendantes du poids et de la race.

À partir des valeurs diastoliques et systoliques obtenues des indices calculés sont possibles.

En particulier il est possible de calculer :

La fraction de raccourcissement :
FR % = (VGd – VGs) / VGd

Le pourcentage épaississement du septum:
% Esept = (SIVs – SIVd) / SIVs

Le pourcentage d’épaississement de la paroi postérieure :

% Epp = (PPVGs – PPVGd) / PPVGs

Comme pour les mesures des dimensions et épaisseurs ventriculaires, les valeurs normales des indices calculés sont dépendantes du poids et de la race.

photo 3 photo 4

Photo 3

Défilement TM transventriculaire.

Photo 4

Mesures ventriculaires en mode TM transventriculaire : mesures télédiastoliques et télésystoliques.

Mesure de la distance E-Septum

La distance E-Septum est obtenue sur un défilement TM à partir d’une coupe petit axe transmitrale (Photos 5 et 6).

La distance E-septum (E-S) correspond à la distance entre le sommet de l’onde E mitrale (correspondant au nadir de l’ouverture du feuillet septal lors de la phase passive de remplissage  ventriculaire) et le septum (Photo 6).

La distance E-Septum normale est :

E-Septum normal = 6 ±3 mm

Une augmentation de la distance E-Septum traduit principalement une dilatation ventriculaire gauche ou une baisse de débit ventriculaire.

Index de sphéricité [1]

L’index de sphéricité est un index calculé associant une mesure bidimensionnelle et une mesure TM transventriculaire.

La mesure bidimensionnelle est la longueur L du ventricule gauche obtenue en coupe grand axe 4 cavités entre l’apex du ventricule gauche et le point de rencontre avec le plan de l’anneau mitral, lors de la télésystole (valve mitrale fermée) (Photo 7).

La mesure TM est la dimension ventriculaire gauche en diastole VGd (Photo 4).

L’index de sphéricité IS est le rapport entre la longueur L et VGd : IS = L / VGd

La valeur normale de l’index de sphéricité IS est :

IS normal > 1,65.

Une diminution de l’index de sphéricité (< 1,65) traduit principalement une augmentation de la sphéricité du ventricule gauche.

Utilisation des mesures ventriculaires dans le diagnostic des principales cardiopathies du chien et du chat : CMD du chien et CMH du chat

L’ensemble des mesures ventriculaires et des indices calculés est un élément principal dans le diagnostic des cardiopathies du chien et du chat.

photo 5 photo 6

Photo 5

coupe petit axe transmitrale par abord droit : placement de l’axe de tir TM.

Photo 6

Défilement TM transmitral et mesurede la distance E-Septum.

photo 7 photo 8

Photo 7

Coupe grand axe 4 cavités par abord droit : mesure de la longueur L du ventricule gauche entre l’apex du ventricule et son point de rencontre avec le plan de l’anneau mitral.

Photo 8

Défilement TM chez un chat présentant une cardiomyopathie hypertrophique. SIVd et PPVGd > 6 mm.

Cardiomyopathies dilatées du chien > Cardiomyopathies dilatées formes classiques

Le diagnostic de cette forme classique et la plus commune des cardiomyopathies dilatées associe des critères détaillés dans les paragraphes précédents, ainsi que d’autres critères (rythmologiques,…).

♦♦ Ces critères sont établis par la Société Européenne de Cardiologie [1], et définissent deux niveaux d’importance : des critères majeurs, et des critères mineurs.

Les critères majeurs sont :

  • Une augmentation de la sphéricité de la cavité ventriculaire gauche (IS < 1,65) ;
  • Une fraction de raccourcissement < 20 % (dépendante de la race) ;
  • Une fraction d’éjection < 40 % ;
  • Des dimensions systoliques ou diastoliques ventriculaires gauches supérieures à l’intervalle de valeurs usuelles établit pour le poids et la race.

Les critères mineurs sont :

  • La présence d’une arythmie (race dépendante);
  • La présence d’une fibrillation atriale ;
  • Une fraction de raccourcissement limite (dépend des valeurs usuelles) ;
  • Une dilatation atriale gauche ou biatriale;
  • Une augmentation distance E-S (> 9 mm) ;
  • Des intervalles de temps systoliques augmentés;

Un critère majeur est noté 3 points, un critère mineur est noté 1 point.

Un score de 6 établit la présence d’une cardiomyopathie dilatée.

Cardiomyopathies dilatées formes raciales : exemple de la race Doberman

Dans cette race le diagnostic d’une cardiomyopathie repose également sur l’évaluation et la conjonction de plusieurs critères dérivés des valeurs ventriculaires gauches mesurées.

Ainsi, plusieurs groupes diagnostiques sont définis [2:

  • Groupe 1 : Chien strictement normal :

FR > 30 %, VGd < 46 mm (chien < 42 kg),
VGd > 50 mm (chien > 42 kg),
VGs < 38mm, E-S < 9 mm.

  • Groupe 3 : CMD certaine :

FR < 18 %, VGd> 55 mm,
VGs > 46 mm, E-S > 14 mm.

  • Groupe 2 : Chien incertain :

– groupe 2a : valeurs indiquant une CMD :

FR < 25 %, VGd > 50 mm, VGs > 40 mm

– groupe 2b : valeurs équivoques :

48 mm < VGd < 50 mm, 38 mm < VGs < 40 mm, 26 % < FR < 29 %.

Cardiomyopathies hypertrophiques du chat

Dans cette espèce l’épaisseur du septum interventriculaire en diastole et l’épaisseur de la paroi postérieure du ventricule gauche en diastole sont les mesures qui permettent d’établir un diagnostic d’hypertrophie pariétale, et d’aboutir à celui de cardiomyopathie hypertrophique.

Une valeur de SIVd et/ou de PPVGd > 6 mm permet d’établir le diagnostic d’hypertrophie myocardique (Photo 8).

Cette limite de 6 mm pour SIVd et PPVGd est la limite maximale quel que soient le poids et la race du chat, donc est adaptable à tous les animaux rencontrés [3].

  • Les mesures ventriculaires se réalisent principalement en mode TM, grand axe ou petit axe.
  • Les mesures ventriculaires sont interprétées de façon combinée pour le diagnostic des principales cardiopathies du chien et du chat (cardiomyopathies en particulier).
  • Des recommandations de la Société Européenne de Cardiologie établissent précisément les critères diagnostiques des cardiomyopathies chez le chien et le chat utilisant les mesures ventriculaires.

1. Hansson The ESVC Taskforce for Canine Dilated Cardiomyopathy : Dukes Macewan J et coll. (2003). Proposed Guidelines for the Diagnosis of Canine Idiopathic Dilated Cardiomyopathy – J Vet Cardiol 5(2) : 7-19
2. Calvert CA, Wall M (2001). Results of ambulatory electrocardiography in overtly healthy Doberman Pinschers with equivocal echocardiographic evidence of dilated cardiomyopathy J Am Vet Med Assoc 219 (6) : 782-84
3. Drourr L et coll. (2005). Measurement of M-mode echocardiographic parameters in healthy adult Maine Coon cats. J Am Vet Med Assoc 226 (5) : 734-7

Retour

Informations pratiques

CHV des Cordeliers - Ouverture 24h/24 et 7j/7

Retour
  • Lun
    Consultations de 08h à 19h +Urgences 24h/24
  • Mar
    Consultations de 08h à 19h +Urgences 24h/24
  • Merc
    Consultations de 08h à 19h +Urgences 24h/24
  • Jeu
    Consultations de 08h à 19h +Urgences 24h/24
  • Vend
    Consultations de 08h à 19h +Urgences 24h/24
  • Sam
    Consultations de 08h à 19h +Urgences 24h/24
  • Dim
    Urgences 24h/24
Retour

Adresse de la clinique

35 Av. du Maréchal Joffre 77100 MEAUX
retrouvez-nous sur Google Maps