Masse cardiaque :

Apport diagnostique d’une ponction échoguidée

Sommaire

  • Les tumeurs cardiaques représentent plus de la moitié des causes des épanchements péricardiques chez le Chien.
  • Le traitement et la durée de survie de l’animal dépendent de la nature de ces masses. Le diagnostic étiologique est donc primordial.

Auteurs : Drs. E. Bomassi et R. Dumont 30-01-2018
Centre Hospitalier Vétérinaire des Cordeliers, 29 avenue du Maréchal Joffre, 77100 Meaux.
E-mail : ebomassi@chvcordeliers.com
Cet article a été réalisé dans le cadre de l’apprentissage pratique du programme de l’Internship des CHV, avec le partenariat de Boehringer Ingelheim, Zoetis, Hill’s et Santé Vet.
Cet article a été publié dans : PratiqueVet (2018) 475 : p 24-27

Masse cardiaque
Apport diagnostique d’une ponction échoguidée

L’analyse histologique, nécessitant un mode de prélèvement très invasif, reste l’outil diagnostique le plus sensible.
La cytoponction à l’aiguille fine constitue une alternative moins invasive que la biopsie et elle-même plus sensible, a priori, que l’analyse du liquide d’épanchement seul dans l’investigation étiologique.

Un chien berger australien mâle entier de 10 ans est présenté en urgence pour un abattement et une tachypnée évoluant depuis 24 heures. Trois semaines auparavant, le chien est présenté chez son vétérinaire traitant pour un abattement et une dysorexie évoluant depuis 48 heures. Une échographie met en évidence un épanchement péricardique avec tamponnade cardiaque.
Une péricardiocentèse permet de retirer 120 ml de liquide d’aspect hémorragique et l’examen cytologique identifie un hémopéricarde inflammatoire. Aucune cellule tumorale n’est observée.

De la prednisolone à 0,5 mg/kg deux fois par jour est prescrite sur une suspicion de péricardite. Des contrôles échographiques à 1, 4 et 15 jours après la ponction ne révèlent aucune récidive de l’épanchement. La veille de son admission, le chien présente un abattement et une tachypnée au repos.

Examen clinique

L’animal est très abattu et non ambulatoire. L’état d’hydratation et la température rectale (38,2 °C) sont normaux.
Ses muqueuses sont pâles et le temps de recoloration capillaire inférieur à deux secondes.
Il est en tachycardie à 180 battements par minute (bpm), en tachypnée à 60 mouvements par minute (mpm) et présente une dyspnée mixte.

La palpation montre un pouls fémoral paradoxal. Un assourdissement bilatéral des bruits cardiaques est ausculté.
Le reste de l’examen ne présente pas d’anomalie.

Hypothèse diagnostique principale

Une récidive de l’épanchement péricardique associée à une tamponnade cardiaque est suspectée.

Examens complémentaires

Une échocardiographie révèle la présence d’un épanchement péricardique associé à une tamponnade. Une péricardiocentèse est alors réalisée.
L’animal n’est pas sédaté en raison de son abattement marqué. Il est positionné en décubitus latéral gauche.
Une partie de l’hémithorax droit est tondue, nettoyée et désinfectée. Un cathéter 13 G, un robinet trois voies et une seringue de 50 ml sont utilisés.

L’approche est effectuée au niveau au 4e espace intercostal. Toute la procédure se déroule avec une surveillance électrocardiographique (ECG) pour contrôler la survenue de troubles du rythme.
Aucune arythmie n’est objectivée pendant l’intervention.

Au total, 130 ml d’hémopéricarde sont drainés. Des échantillons du liquide sont conservés dans des tubes sec et EDTA pour une analyse cytologique en laboratoire.
Un contrôle échocardiographique permet de visualiser la levée de la tamponnade et un faible volume d’épanchement résiduel.

À la suite de l’intervention, les fréquences cardiaques et respiratoires sont normalisées et les muqueuses sont roses.
Une numération-formule sanguine, un bilan biochimique, un ionogramme et l’évaluation des temps de coagulation sont également réalisés (tableau 1).

tableau 1

Une anémie modérée et une légère neutrophilie sont mises en évidence. La thrombocytopénie est infirmée au frottis sanguin. Les PAL légèrement augmentées sont interprétées comme une conséquence du traitement corticoïde précédemment mis en place. Une élévation des enzymes hépatiques peut cependant être observée lors d’hémangiosarcome1.
Le reste du bilan biologique est normal.

Une échocardiographie de contrôle 24 heures plus tard confirme l’absence de recollection de l’épanchement. Elle met en évidence une masse volumineuse et hétérogène, de 3,5 cm sur 5,3 cm, localisée sur la paroi atriale et auriculaire droite, avec une extension pédiculée dans l’atrium droit (fig. 1).

figure 1
Fig. 1 – Image échocardiographique de la masse (coupe parasternale droite petit axe trans-aortique).
Ep : épanchement péricardique résiduel, AD : atrium droit, Ao : Aorte, AG : atrium gauche.
Une masse de 3,5 cm sur 5,3 cm adhérente à la paroi de l’atrium et de l’auricule droit est visualisée
 

Une échographie abdominale révèle l’absence d’épanchement et la présence de nodules spléniques suspects.
Une cytoponction échoguidée de la masse cardiaque est réalisée (fig. 2).

fig 2
Fig. 2 – Cytoponction échoguidée de la masse cardiaque.
L’aiguille est suivie par image échographique tout le temps de la procédure.
 

Cytoponction échoguidée de la masse cardiaque. L’aiguille est suivie par image échographique tout le temps de la procédure.
L’animal, vigile et non sédaté, est positionné en décubitus latéral gauche avec une surveillance ECG. Le choix du décubitus est conditionné par la localisation de la tumeur.
Une aiguille 22 G et une seringue de 2 ml sont utilisées.
Des étalements sur lame sont réalisés pour être analysés au laboratoire, avec le liquide d’épanchement prélevé lors de la péricardiocentèse.

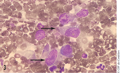
Un premier examen cytologique est cependant réalisé sur place (fig. 3). Il met en évidence de multiples amas de cellules rondes à ovoïdes, parfois fusiformes et de taille moyenne. Les noyaux sont ronds à ovales, avec un ou plusieurs nucléoles.
Le cytoplasme apparaît modérément abondant et souvent microvacuolisé. L’examen cytologique complémentaire réalisé par le laboratoire est en faveur d’une tumeur maligne de type sarcome, dont l’aspect évoque en priorité un hémangiosarcome.

L’épanchement péricardique présente de nouveau les caractéristiques d’un hémopéricarde, sans présence de cellules tumorales.

fig 3
Fig. 3 – Observation microscopique de la cytoponction (x 100). Coloration au RAL555.
Observations de cellules ovoïdes à fusiformes, avec un rapport nucléocytoplasmique élevé et un cytoplasme microvacuolisé, fortement évocatrices de cellules sarcomateuses (flèches)
 

Diagnostic

Le chien présente un hémangiosarcome de l’atrium droit, potentielle métastase d’une tumeur splénique, et un épanchement péricardique responsable d’une tamponnade cardiaque.

Traitement et suivi

Après décision des propriétaires, une péricardectomie palliative par cœlioscopie est réalisée. Le choix de cette intervention est motivé par l’amélioration du confort de vie de l’animal en évitant les recollections d’épanchement et donc les péricardiocentèses répétées.

L’exploration de l’hémithorax droit ne montre pas d’anomalie. Une section du médiastin est obtenue par fusion tissulaire. Le péricarde est élevé à la pince, puis une fenêtre est ouverte.
Une résection de 5 cm2 est réalisée ventralement, puis la fenêtre est agrandie en filet. La résection de la masse n’est pas réalisable en raison de son emplacement et de sa vascularisation.
Aucune hémorragie majeure, hypotension ou arythmie significative n’est survenue pendant l’intervention.

Après 24 heures d’hospitalisation, le chien est rendu à ses propriétaires.

Trois semaines plus tard, l’animal est présenté chez son vétérinaire traitant pour une baisse de l’état général. Une euthanasie est demandée sans exploration de la cause responsable.

1 – Prise en charge d’un épanchement péricardique en urgence

La tamponnade justifie l’urgence de la prise en charge d’un épanchement péricardique. La tamponnade cardiaque est une conséquence de l’accumulation de liquide dans l’espace péricardique. Elle survient lorsque l’étirement maximal du péricarde est atteint et quand la pression intrapéricardique excède celle des cavités cardiaques2.

Une fois le diagnostic établi, la prise en charge en urgence consiste à ponctionner le liquide d’épanchement afin de lever la tamponnade cardiaque.

L’approche par l’hémithorax droit, au niveau du 4e ou du 5e espace intercostal, dorsalement à la jonction chondro-costale, donne accès à une fenêtre où les poumons ne recouvrent pas le cœur et permet d’éviter la lacération de l’artère coronaire gauche. Un cathéter 14 G ou 16 G peut être utilisé et le liquide est prélevé à l’aide d’une seringue de 50 ml et d’un robinet trois voies3.
L’apparition d’effets indésirables, notamment des troubles du rythme, à la suite d’une péricardiocentèse survient dans 15 % des cas 4.

Dans le cas présenté, aucun trouble du rythme cardiaque n’a été observé durant la procédure et une amélioration clinique a été observée dès la levée de la tamponnade.

2 –  Apport de la cytoponction de masse cardiaque dans le diagnostic étiologique

Plus de la moitié des épanchements péricardiques sont dus à un phénomène néoplasique (tableau 2).

tableau 2

L’hémangiosarcome représente un tiers des causes, toute origine confondue 5.

L’analyse du liquide d’épanchement, qu’elle soit hématologique, biochimique ou cytologique, ne permet pas la distinction entre une cause tumorale et non tumorale 6-8.
L’intérêt diagnostique de l’analyse cytologique passe de 7,7 % à 20,3 % pour des épanchements dont l’hématocrite est inférieur à 10 % 8.

Dans le cas présenté, les deux prélèvements du liquide d’épanchement péricardique réalisés à trois semaines d’intervalle n’ont effectivement pas mis en évidence des cellules tumorales.
La cytoponction d’une masse cardiaque constitue une alternative plus intéressante dans le diagnostic étiologique.

À ce jour, une seule étude rétrospective portant sur six cas recense la réalisation avec succès de cytoponctions de masses cardiaques 9.

Les trois critères utilisés pour définir si une masse pouvait être ponctionnée sont les suivants :

  1. une masse de dimension raisonnable. La plus petite masse ponctionnée mesurait 1,75 x 1,55 cm ;
  2. une masse immobile, pour faciliter l’insertion de l’aiguille ;
  3. une masse proche de la paroi thoracique. 

Bien que l’examen histologique apporte davantage d’informations comparativement à la cytologie, la cytoponction reste moins invasive que la biopsie et plus sensible, a priori, que l’analyse du liquide d’épanchement péricardique seul dans le diagnostic étiologique des masses cardiaques. Ce cas permet de confirmer les résultats de l’étude précitée 9.

La procédure utilisée a été celle décrite par les auteurs.
Aucune anesthésie ou sédation n’a cependant été nécessaire, contrairement à l’ensemble des six cas rapportés.

Les critères de faisabilité étaient respectés et l’intervention s’est déroulée sans complications (saignements, lésions cardiaques accidentelles…).

La cytoponction a été réalisée avec des moyens simples et a permis d’établir un diagnostic final d’hémangiosarcome, alors que l’analyse du liquide d’épanchement seule a donné un résultat faussement négatif deux fois, en ne mettant pas en évidence de cellules tumorales.

3 –  Intérêts de la péricardectomie dans le traitement de l’hémangiosarcome cardiaque

Le traitement d’un hémangiosarcome cardiaque peut être médical ou chirurgical. Le pronostic pour ce type de tumeur reste très mauvais, quel que soit le traitement mis en place. Bien que la péricardiocentèse améliore temporairement l’état de l’animal, une récidive de l’épanchement péricardique survient fréquemment quelques jours plus tard 10.
Dans notre cas, trois semaines se sont écoulées avant la recollection.

Une péricardectomie palliative a alors été décidée par les propriétaires pour améliorer le confort de vie de leur animal en évitant les multiples péricardiocentèses.
Cette intervention n’est pas associée à des complications majeures et ne nécessite pas une hospitalisation postopératoire prolongée.
Dans notre cas, l’intervention chirurgicale s’est déroulée sans complications et l’animal n’est resté que 24 heures en hospitalisation.

Il existe une différence significative entre les temps de survie des chiens subissant une péricardectomie avec résection de la tumeur, de ceux recevant un traitement médical 11.
La médiane de survie varie en fonction des études de 42 à 86 jours, pour les chiens ayant reçu un traitement chirurgical 11, 12.

Cet article présente donc un nouveau cas de cytoponction de masse cardiaque et vient compléter la série de six cas de l’étude de Pedro et al., 2016.

La procédure comporte peu de risques lorsqu’elle est réalisée conformément aux critères de faisabilité et semble assurer un diagnostic plus sensible que celui de l’analyse du liquide d’épanchement seul, à l’origine de nombreux faux négatifs.

Bien que ces  conclusions ne soient issues des observations que de quelques cas, elles doivent amener le clinicien à davantage considérer la cytoponction des masses cardiaques dans son arsenal diagnostique.

  1. MACDONALD KA, CAGNEY O, MAGNE ML, 2009, Echocardiographic and clinicopathologic characterization of pericardial effusion in dogs: 107 cases (1985-2006), J. Am. Vet. Med. Assoc, 235,1456-1461.
  2. SHAW SP, RUSH JE, 2007, Canine pericardial effusion: diagnosis, treatment, and prognosis, Compend. Contin. Educ. Vet, 29, 405-411.
  3. ETTINGER SJ, Pericardiocentesis, Vet Clin North Am Sm Anim Pract 4:403-412, 1974.
  4. HUMM KR, KEENAGHAN-CLARK EA, BOAG AK, 2009, Adverse events associated with pericardiocentesis in dogs: 85 cases (1999-2006), J. Vet. Emerg. Crit, Care San Antonio Tex 2001, 19, 352-356.
  5. BERG RW and WINGFIELD W, 1984, Pericardial effusion in the dog: a review of 42 cases, J Am Anim Hosp Assoc 1984;20:721-730.
  6. SISSON D, THOMAS WP, RUEHL WW, ZINKL JG, 1984, Diagnostic value of pericardial fluid analys is in the dog, J. Am. Vet. Med. Assoc, 184, 51-55.
  7. DE LAFORCADE AM, FREEMAN LM, ROZANSKI EA, RUSH JE, 2005, Biochemical analysis of pericardial fluid and whole blood in dogs with pericardial effusion, J. Vet. Intern. Med, 19, 833-836.
  8. CAGLE LA, EPSTEIN SE, OWENS SD, MELLEMA MS, HOPPER K, BURTON AG, 2014, Diagnostic yield of cytologic analysis of pericardial effusion in dogs, J. Vet. Intern.Med, 28, 66-71.
  9. PEDRO B, LINNEY C, NAVARRO-CUBAS X, STEPHENSON H, DUKES-MCEWAN J, GELZER AR et al, 2016, Cytological diagnosis of cardiac masses with ultrasound guided fine needle aspirates, J. Vet. Cardiol. Off. J. Eur. Soc. Vet. Cardiol, 18, 47-56.
  10. TOBIAS, A. H. and MCNIEL, E. A, 2008, Pericardial disorders and cardiac tumors, pp. 200-214. In: Manual of Canine and Feline Cardiology, 4th ed, (Tilley, L. P., Smith, F. W. K. Jr., Oyama, M. and Sleeper, M. M. eds.), Saunders Elsevier, Philadelphia.
  11. YAMAMOTO S, HOSHI K, HIRAKAWA A, CHIMURA S, KOBAYASHI M, MACHIDA N, 2013, Epidemiological, clinical and pathological features of primary cardiac hemangiosarcoma in dogs: a review of 51 cases, J. Vet. Med. Sci., 75, 1433-1441.
  12. WEISSE, C., SOARES, N., BEAL, M. W., STEFFEY, M. A., DROBATZ, K. J. and HENRY, C. J, 2005, Survival times in dogs with right atrial HS treated by means of surgical resection with or without adjuvant chemotherapy: 23 cases (1986-2000), J. Am. Vet. Med.Assoc, 226: 575-579.
Retour

Informations pratiques

CHV des Cordeliers - Ouverture 24h/24 et 7j/7

Retour
  • Lun
    Consultations de 08h à 19h +Urgences 24h/24
  • Mar
    Consultations de 08h à 19h +Urgences 24h/24
  • Merc
    Consultations de 08h à 19h +Urgences 24h/24
  • Jeu
    Consultations de 08h à 19h +Urgences 24h/24
  • Vend
    Consultations de 08h à 19h +Urgences 24h/24
  • Sam
    Consultations de 08h à 19h +Urgences 24h/24
  • Dim
    Urgences 24h/24
Retour

Adresse de la clinique

35 Av. du Maréchal Joffre 77100 MEAUX
retrouvez-nous sur Google Maps