Notre avis de confidentialité a été mis à jour – en savoir plus.

Péricardite bactérienne

fibrino-suppurée chez un chat

Résumé

Une chatte de 8 ans est présentée pour un épanchement péricardique. Les examens complémentaires identifient une péricardite infectieuse bactérienne avec tamponnade.

La ponction et le traitement médical à base d’antibiotiques ne suffisent pas à empêcher une récidive. Un traitement chirurgical (péricardectomie) est donc entrepris. Le suivi de cette chatte se révèle très satisfaisant, puisqu’une guérison complète est intervenue plusieurs mois après la prise en charge. Néanmoins, le pronostic à long terme de ce type de péricardite est incertain, car mal connu à ce jour. En effet, ces affections sont rares dans l’espèce féline. Le diagnostic associe classiquement la radiographie et/ou l’échographie et la cytologie avec une bactériologie. En première intention, le traitement est médical (antibiotiques), mais il peut nécessiter une péricardectomie en cas d’échec. Si une tamponnade apparaît, une ponction péricardique permet sa levée.

Summary

Suppurative bacterial fibrinous pericarditis in a cat

An 8-year-old cat is presented with a pericardial effusion. Infectious bacterial pericarditis with tamponade was established after further examinations. Surgical treatment (pericardiectomy) was performed because pericardial puncture and medical treatment consisting of antibiotics were not sufficient to prevent a recurrence. Post-operative monitoring was very satisfactory with complete recovery several months after treatment. Nevertheless, the long-term prognosis of this type of pericarditis is uncertain because there is limited data available to date. These conditions are rare in the feline species. Diagnosis is usually made by radiography and/or ultrasonography and cytology with bacteriology. Treatment is medical (antibiotics) in the first instance, but surgery consisting of a pericardiectomy may be required in case of failure. Pericardial puncture allows resolution of tamponade.

Auteur : Dr. Éric Bomassi (DESV-MI cardiologie) ; Dr. Sébastien Etchepareborde (DESV chirurgie, ECVS, PhD)
Centre Hospitalier Vétérinaire des Cordeliers, 29-35 avenue du Maréchal Joffre, 77100 Meaux.
E-mail :eric.bomassi@chvcordeliers.com

Mots clefs : Péricardite, Pericarditis, péricardectomie, pericardiectomytamponnade, chat, cat
Cet article a été publié dans : Le point vétérinaire (Mai 2022) N°429, p 48-52

Péricardite bactérienne fibrino-suppurée chez un chat

L’espèce féline est réputée sensible aux affections cardiaques. C’est un fait établi pour les cardiomyopathies, mais d’autres atteintes existent, même rares, et doivent figurer parmi les hypothèses diagnostiques.

Les maladies péricardiques infectieuses sont rares chez le chat. Si les cardiomyopathies sont largement représentées chez cette espèce, elles ne doivent pas faire oublier les autres maladies cardiaques ou péricardiques. Une démarche diagnostique précise, avec des examens complémentaires classiques, permet de les identifier.

Le traitement doit être adapté et ciblé. Le pronostic est variable et mal connu à ce jour.

Commémoratifs et anamnèse

Une chatte européenne stérilisée, âgée de 8 ans et pesant 3,35 kg, non médicalisée, est présentée en consultation pour un abattement et une dysorexie qui évoluent depuis trois jours. Aucun antécédent notable n’est rapporté par les propriétaires.

Examen clinique

La chatte est abattue. La température rectale est de 39,3 °C. Les muqueuses sont rose pâle. Le temps de recoloration capillaire est supérieur à 2 secondes. Les pouls fémoraux semblent diminués. La palpation abdominale est normale. La déshydratation est estimée à 5 %. Une polypnée et une dyspnée mixte modérées sont décelées : la fréquence respiratoire est de 44 mouvements par minute (mpm) et la fréquence cardiaque de 160 battements par minute (bpm). Les bruits cardiaques sont assourdis, mais sans anomalie audible. Le reste de l’examen clinique est dans les normes.

Hypothèses diagnostiques

Les éléments de l’examen clinique et de l’examen cardio-respiratoire sont en faveur d’une affection restrictive respiratoire, possiblement un épanchement pleural et/ou péricardique. D’autres affections des voies respiratoires et du parenchyme pulmonaire, telles qu’une trachéo-bronchopneumopathie, une masse cardiaque ou thoracique ou une cardiopathie décompensée, sont également possibles. La température rectale indique une hyperthermie minime, pouvant être indicatrice d’une infection.

Examens complémentaires

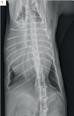
Des radiographies thoraciques sont réalisées afin d’explorer les anomalies de la courbe respiratoire (photos 1a et 1b). Une cardiomégalie très importante est mise en évidence, avec un déplacement dorsal de la trachée et un signe de la silhouette positif avec le diaphragme. Un décollement pleural est visible dans la portion apicale des lobes caudaux. Une échocardiographie, visant à explorer la cardiomégalie et à confirmer l’épanchement pleural, montre un très volumineux épanchement péricardique avec une tamponnade (photo 2). L’épanchement apparaît hyperéchogène, probablement très cellulaire. En revanche, il n’est pas observé a priori d’anomalies morphologiques cardiaques. Cet examen confirme également la présence de l’épanchement pleural en quantité minime. Par ailleurs, aucune anomalie structurelle pulmonaire, médiastinale ou pleurale n’est observée.

thorax chat vue de profil droit  thorax chat vue de face
1. Thorax de la chatte souffrant de dyspnée et de polypnée. Noter la cardiomégalie et l’épanchement pleural modéré.
1a : vue de profil droit. 1b : vue de profil droit. 
 
Image échocardiographique en abord parasternal droit
2.Image échocardiographique en abord parasternal droit. Noter le volumineux épanchement péricardique hyperéchogène, avec la tamponnade des cavités droites.

Un bilan biologique (numération et formule sanguines; biochimie rénale, hépatique et pancréatique ; ionogramme), principalement destiné à explorer l’hyperthermie, est réalisé et se révèle normal.

Diagnostic

La chatte présente un important épanchement péricardique et un épanchement pleural mineur. La tamponnade nécessite d’être levée, l’identification de la nature et l’origine de l’épanchement précisées.

Prise en charge de l’épanchement péricardique

Ponction péricardique

Une ponction échoguidée de l’épanchement péricardique permet le  retrait  quasi  évacuateur  de 160 ml de pus en nature. À l’issue de la ponction, la tamponnade est levée. L’examen morphologique et hémodynamique de cœur est normal (absence de cardiopathie identifiée).

L’examen cytologique de l’épanchement confirme qu’il s’agit bien de pus et d’un épanchement exsudatif : taux de protéines de 82 g/l, cellularité importante majoritairement inflammatoire (polynucléaires neutrophiles dégénérés, macrophages activés).
L’examen bactériologique identifie Pasteurella sp. en l’absence de résistances antibiotiques.

Les résultats de la réaction de polymérisation en chaîne par transcription inverse (RT-PCR) coronavirose (recherche du virus de la péritonite infectieuse féline) sur le liquide d’épanchement, ainsi que de la RT-PCR FeLV et FIV sanguine (recherche de rétrovirus, possiblement immunodépresseurs) sont négatifs.

Hospitalisation

La chatte est hospitalisée et reçoit une perfusion de Ringer lactate au rythme de 10 ml par heure afin d’assurer les besoins d’entretien et de corriger la déshydratation. Une réalimentation progressive spontanée est instaurée et une surveillance de la courbe respiratoire effectuée. Un traitement antibiotique est délivré (amoxicilline-acide clavulanique à la dose de 15 mg/kg matin et soir). Après 48 heures d’hospitalisation, l’état clinique de la chatte est amélioré, avec une reprise de l’appétit et la normalisation de la température rectale.

Un examen échocardiographique de contrôle observe néanmoins une récidive de l’épanchement péricardique avec tamponnade, sans récidive de l’épanchement pleural. Une seconde ponction évacuatrice permet d’extraire 60 ml de pus.

Péricardectomie

Face à cette récidive malgré la ponction, et compte tenu des caractéristiques de l’épanchement (infectieux), une péricardectomie est décidée. Cet acte chirurgical apparaît indiqué à ce stade du suivi afin de traiter plus définitivement la collection intrapéricardique de pus et de prévenir de futures tamponnades. Il est pratiqué avec un contrôle thoracoscopique (photos 3a et 3b). La péricardectomie est subtotale. Le péricarde est très épais. L’espace péricardique contient un reliquat de liquide purulent et du tissu fibrineux. Ce même tissu fibrineux est présent en surface de la plèvre pariétale (photo 4). Des biopsies pleurales sont prélevées. Après un rinçage de l’espace péricardique et de la cavité pleurale, des drains aspiratifs sont placés sur les deux hémithorax pendant 24 heures.

3a. étape de la dissection du péricarde.  3b : étape de l’extraction du péricarde.
3.Vues de la péricardectomie thoracoscopique.
3a : étape de la dissection du péricarde. 3b : étape de l’extraction du péricarde.

 
Vue thoraco-scopique permettant la visualisation de dépôts fibrineux et purulents sur la plèvre pariétale
4.Vue thoracoscopique permettant la visualisation de dépôts fibrineux et purulents sur la plèvre pariétale.

Après 48 heures d’hospitalisation, l’examen clinique ne décèle rien d’anormal et le contrôle écho-cardiographique ne révèle pas de récidive de l’épanchement. La chatte est rendue à ses propriétaires avec la poursuite du traitement antibiotique à la même dose pendant trois semaines (amoxicilline-acide clavulanique, 15 mg/kg matin et  soir). Un anti-inflammatoire non stéroïdien (méloxicam, à raison de 0,2 mg/j pendant cinq jours) est également prescrit.

Résultats histologiques

Les résultats de l’examen histologique du péricarde ainsi que des biopsies pleurales objectivent une pleurésie chronique diffuse lymphoplasmocytaire et neutrophilique modérée avec hyperplasie réactionelle du mésothélium, et d’une péricardite chronique multifocale à coalescente, fibrino-suppurée et nécrotique, marquée, avec un tissu de granulation abondant.

Suivi

L’examen clinique, réalisé six jours après la sortie d’hospitalisation, est normal. Des radiographies de contrôle ne montrent aucun signe d’épanchement (photos 5a et 5b). Une échocardiographie est également réalisée (photo 6), confirmant l’absence de récidive de l’épanchement. La biologie sanguine est dans les valeurs usuelles. Un suivi téléphonique est effectué un mois, puis trois mois plus tard. La chatte est en excellent état général et ne présente plus aucun symptôme.

5a : vue du profil droit.  5b : vue de face.
5.Sur les images radiographiques thoraciques de contrôle, aucune anomalie n’est observée trois semaines après l’intervention.
5a : vue du profil droit. 5b : vue de face.
 
Image échocardiographique de contrôle
6.Image échocardiographique de contrôle en abord parasternal droit, coupe grand axe quatre cavités.
À trois semaines postopératoires, l’examen cardiaque est redevenu normal et signe la guérison du chat.

Épidémiologie

Les maladies péricardiques chez le chat sont peu fréquentes, avec une prévalence entre 1 et 2,3 % [1, 8]. Les causes principales sont cardiaques (majoritairement une insuffisance cardiaque secondaire à une cardiomyopathie), infectieuses ou tumorales [3]. D’autres causes, plus rares, sont décrites : un traumatisme, une coagulopathie, une insuffisance rénale, une hernie phrénopéricardique ou encore une péritonite infectieuse féline (PIF).

Pathogénie

Les péricardites infectieuses bactériennes sont secondaires à la diffusion locale ou septicémique d’une bactérie (bronchopneumonie, infection dentaire, abcès, péritonite, pyomètre, corps étranger migrant) ou sont idiopathiques [2, 4-9]. Ce cas décrit et documente une péricardite infectieuse, d’origine bactérienne, avec l’identification d’une pasteurelle. Il s’agit chez cette chatte d’une forme particulière de péricardite infectieuse, fibrino-suppurée, seulement décrite deux fois auparavant, ce qui constitue une originalité [7, 9].

Signes cliniques

Les signes cliniques sont peu spécifiques et régulièrement en rapport avec la tamponnade consécutive à l’épanchement péricardique (abattement, polypnée, insuffisance cardiaque droite) et à l’infection (pyrexie, perte de poids, anorexie) [4]. Dans le cas présenté, les signes respiratoires ont orienté la recherche d’une affection restrictive respiratoire, d’origine cardiaque ou pulmonaire.

Diagnostic

Les examens complémentaires réalisés ont permis l’identification de l’épanchement péricardique. Il s’agit principalement de l’imagerie (radiographie, échocardiographie), des examens de choix dans l’exploration des maladies péricardiques chez le chien et le chat [3, 4, 8, 9]. L’épanchement ponctionné ainsi que son analyse cytologique et bactériologique sont indispensables pour déterminer sa nature et son origine [4]. Dans ce cas, une bactérie, Pasteurella sp. a été identifiée, de même que sa sensibilité aux antibiotiques, permettant le choix d’un traitement médical adapté. L’origine précise de l’infection péricardique, telle que précédemment envisagée (pulmonaire, abcès, autre), n’a pas été identifiée. Une pleurésie était également présente. Il est possible qu’une infection pulmonaire non diagnostiquée, avec pleurésie, ait été responsable de la péricardite. Lors de péricardite infectieuse secondaire à une infection pulmonaire, la proximité de la plèvre pulmonaire, inflammatoire, avec le péricar, occasionne une inflammation de proximité et une propagation bactérienne sur ce dernier [9]. Il peut en être de même de toute autre propagation de proximité (médiastinite, lymphadénite) [4].

Traitement

Avant la mise en place d’un traitement médical ou chirurgical, la ponction péricardique est l’acte de choix lors d’épanchement péricardique avec tamponnade, afin de lever cette dernière et de restaurer la fonction cardio-circulatoire. Le liquide de ponction est systématiquement analysé, pour en déterminer la nature. La démarche thérapeutique “idéale”en cas de péricardite infectieuse n’est pas clairement définie. Si le traitement médical (antibiothérapie) semble suffisant pour obtenir une guérison dans certains cas, il est possible que, lors de péricardites fibrineuses ou fibrino-suppurées, un traitement chirurgical soit nécessaire (péricardectomie, drainage péricardique et thoracique) [4, 5, 9]. Ce dernier présente également l’avantage de pouvoir réaliser un examen anatomopathologique sur les prélèvements de péricarde et d’autres tissus (la plèvre dans ce cas). Cela a conduit au résultat définitif du type de péricardite, fibrinouppurée, chez cette chatte.

Lors d’infection bactérienne, la molécule antibiotique est déterminée selon les résultats de l’antibiogramme. Dans ce cas, la bactérie identifiée, Pasteurella sp., était sensible à tous les antibiotiques testés, y compris l’association amoxicilline-acide clavulanique choisie. Néanmoins, après la première ponction et la mise en place de l’antibiothérapie, une récidive importante et rapide de l’épanchement a été observée, ce qui a motivé la réalisation d’une péricardectomie. Ainsi, une guérison a pu être obtenue avec l’association du traitement médical et du traitement chirurgical, comme cela a été précédemment décrit [2, 6].

Pronostic

Le pronostic des maladies péricardiques chez le chat est connu, variable, mais associé à l’absence de données suffisantes sur les péricardites infectieuses [3, 8]. Dans ces dernières, le pronostic est mal déterminé du fait du faible nombre de cas répertoriés. L’utilisation d’un traitement antibiotique efficace peut permettre une rémission complète ou une guérison [4, 5]. Cependant, l’addition d’un traitement chirurgical curatif peut se révéler nécessaire, comme dans le cas présenté. De plus amples études seraient nécessaires pour préciser le devenir et la durée de vie de ces cas.

Conclusion

La péricardite infectieuse bactérienne décrite chez cette chatte est originale, car un nombre limité de cas est rapporté dans les publications. Le traitement, à la fois médical et chirurgical, a permis de parvenir à une guérison après une récidive. Néanmoins, afin de pouvoir préciser les données diagnostiques, pronostiques et thérapeutiques, de plus amples études, portant sur un nombre plus important de cas, restent à mener.

  1. Davidson BJ, Paling AC, Lahmers SL et coll. Disease association and clinical assessment of feline pericardial effusion. J. Am. Anim. Hosp. Assoc. 2008;44:5-9.
  2. Denroche K, Fox PR, Prittie J et coll. Septic pericarditis caused by a migrating grass awn in a cat. J. Vet. Cardiol. 2021;36:14-19.
  3. Hall DJ, Shofer F, Meier CK et coll. Pericardial effusion in cats: a retrospective study of clinical findings an outcome in 146 cats. J. Vet. Intern. Med. 2007;21:1002-1007.
  4. LeBlanc N, Scollan KF. Bacterial pericarditis in a cat. J. Feline Med. Surg. Open Rep. 2015;1:2055116915603077.
  5. Lobetti RG. Anaerobic bacterial pericardial effusion in a cat. J. S. Afr. Vet. Assoc. 2007;78:175-177.
  6. Majoy SB, Sharp CR, Dickinson AE et coll. Septic pericarditis in a cat with pyometra. J. Vet. Emerg. Crit. Care. 2013;23:68-76.
  7. Oliveira LB, Susta L, Rech RR et coll. Pathology in practice. Effusive FIP with fibrinous epicarditis in a cat. J. Am. Vet. Med. Assoc. 2014;245:899-901.
  8. Rush JE, Keene BW, Fox PR. Pericardial disease in the cat: a retrospective evaluation of 66 cases. J. Am. Anim. Hosp. Assoc. 1990;26:39-46.
  9. Tagawa M, Kurashima C, Shimbo G et coll. Fibrinous pericarditis secondary to bacterial infection in a cat. J. Vet. Med. Sci. 2017;79:957-961.
Retour

Informations pratiques

CHV des Cordeliers - Ouverture 24h/24 et 7j/7

Retour
  • Lun
    Consultations de 08h à 19h +Urgences 24h/24
  • Mar
    Consultations de 08h à 19h +Urgences 24h/24
  • Merc
    Consultations de 08h à 19h +Urgences 24h/24
  • Jeu
    Consultations de 08h à 19h +Urgences 24h/24
  • Vend
    Consultations de 08h à 19h +Urgences 24h/24
  • Sam
    Consultations de 08h à 19h +Urgences 24h/24
  • Dim
    Urgences 24h/24
Retour

Adresse de la clinique

35 Av. du Maréchal Joffre 77100 MEAUX
retrouvez-nous sur Google Maps