Carcinome vésical à cellules transitionnelles
Traitement chirurgical par cystectomie et patch iléal
Une chienne berger allemand de 9 ans est présentée en consultation pour exploration d’une hématurie persistante depuis plusieurs semaines.
Son examen clinique est sans anomalie remarquable, la palpation abdominale est souple.
Diagnostic
Dans le but d’explorer une origine vésicale des saignements, des examens complémentaires d’imagerie sont entrepris.
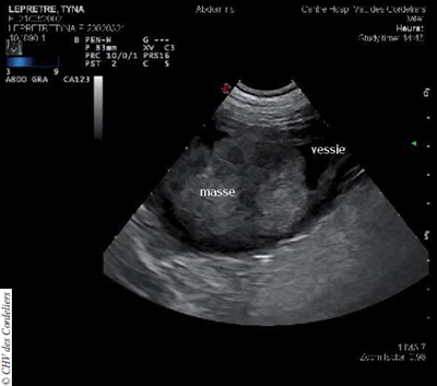
À l’examen échographique abdominal, une volumineuse masse d’aspect hétérogène et d’échogénicité principalement tissulaire est visualisée à l’apex de la vessie (photo 1), elle est déstructurante pour la paroi à sa zone de naissance. La vessie est ponctionnée par cystocentèse : la bandelette urinaire montre la présence de sang et de protéines en quantités importantes et l’examen cytologique du culot n’apporte pas de résultat significatif.

Photo 1 : Volumineuse masse vésicale d’aspect hétérogène.
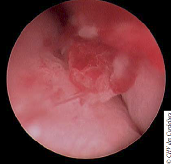
Un examen endoscopique urinaire est proposé pour évaluer le degré d’envahissement de la masse dans les zones difficilement accessibles par l’échographie et pour effectuer des prélèvements histologiques. La prémédication est assurée par de l’acépromazine (20 μg / kg IM) et du chlorhydrate de morphine (0,1 mg / kg IM). L’induction est réalisée au propofol à dose d’effet et le maintien à l’isoflurane à 2 % dans 1 litre d’oxygène. La chienne est placée en décubitus dorsal et une optique rigide de 2,7 mm est introduite dans les voies vaginales (photo 2).

Photo 2 : Vagino-cystoscopie par endoscopie rigide
Plusieurs nodules de 2 à 4 mm sont visualisés dans le vagin, obstruant le méat urinaire (photo 3).

Photo 3 : Nodule vaginal fermant le méat urinaire.
L’endoscopie se poursuit par le cathétérisme urétral ; aucune lésion visible n’est objectivée. L’examen de la vessie ne révèle pas de lésion en regard du trigone. En avant de celui-ci, la présence d’une masse hémorragique occupant la quasi-totalité de la lumière vésicale est confirmée.
Des biopsies étagées (vessie, urètre et vagin) sont réalisées. L’histologie permet d’établir le diagnostic de carcinome peu différencié à cellules transitionnelles infiltrant au moins le chorion.
Un bilan d’extension tomodensitométrique de l’abdomen et du thorax est effectué. Il précise le diamètre de 60 mm et la localisation crâniale de la masse sur la vessie, son caractère infiltrant sur les parois ventrale et dorsale et confirme son absence dans le trigone (photo 4).
Aucune lésion n’est visualisée sur les autres organes abdominaux et aucune métastase pulmonaire n’est décelée.

Photo 4 : Aspect tomodensitométrique de la masse vésicale en coupes frontale et sagittale.
Traitement
Un traitement chirurgical est préféré compte tenu de l’accessibilité de la masse et de la possibilité d’un geste carcinologique. L’animal est préparé pour la chirurgie et positionné en décubitus dorsal. Une laparotomie est pratiquée et la vessie est extériorisée (photo 5).

Photo 5 : Extériorisation de la vessie.
L’organe est incisé sur sa face ventrale, du col à l’apex (photo 6). Compte tenu de la taille de la masse, une cystectomie subtotale est envisagée. L’intégrité des ostia urétériques est vérifiée par l’introduction d’une pince hémostatique (photo 7).

Photo 6 : Nodule vaginal fermant le méat urinaire.
Photo 7 : Visualisation du trigone après cystectomie.
Une sonde de Foley de 10 est mise en place (photo 8).

Photo 8 : Une sonde urinaire est introduite de manière rétrograde et sert de guide à une sonde de Foley qui restera en place jusqu’à J2 post-opératoire
Puis, une cystoplastie par patch iléal est réalisée, suturant la vessie sur la séreuse intestinale avec un fil de polyglécaprone (monocryl® 3.0) (figure 1 et photo 9).

Figure 1 : Suture de la paroi vésicale à la séro-musculeuse intestinale
Photo 9 : Aspect de la vessie après le patch iléal.
Après épiploïsation, l’abdomen est refermé de manière usuelle.
En post-opératoire immédiat, la douleur est traitée par des bolus de morphine (0,1 mg / kg SC q 4h) associés à une perfusion de kétamine diluée (0,06 mg / kg / h pendant 6 heures). Une antibiothérapie est instaurée (Céfalexine, Rilexine® 15 mg / kg IV, BID). La sonde de Foley est retirée après 2 jours et la chienne est rendue à ses propriétaires 3 jours post-opératoires sous céfalexine PO en association à une chimiothérapie utilisant le piroxicam (Felden® 0,3 mg / kg PO, SID).
Suivi post-opératoire
Au contrôle 15 jours post-opératoires, la chienne n’est plus symptomatique et présente un confort de vie satisfaisant. L’examen anatomopathologique de la masse confirme le carcinome à cellules transitionnelles localement très agressif associé à de nombreux petits emboles lymphatiques tumoraux.