Conséquences d’une atrésie

du conduit auditif externe

Sommaire

  • Nous présentons ici le cas d’une chienne présentée pour une masse apparue sous le pavillon auriculaire droit. Il s’agissait en réalité d’un kyste cérumineux dont l’exérèse s’est réalisée sans complications. Ce cas illustre surtout l’intérêt de l’imagerie dans la gestion des malades lors de lésions de la tête et du cou.
  • Un setter anglais femelle de 10 ans est suivi régulièrement chez son vétérinaire. Une atrésie du conduit auditif externe droit a été diagnostiquée il y a plusieurs années.

Auteur : Dr. S. Etchépareborde 14-03-2014 Centre Hospitalier Vétérinaire des Cordeliers, 29 avenue du Maréchal Joffre, 77100 Meaux. E-mail : setchepareborde@chvcordeliers.com 

Conséquences d’une atrésie du conduit auditif externe
Un cas rare de « kyste cérumineux »

Depuis un an, une masse relativement dépressible est palpable sous le pavillon droit. Depuis 15 jours, cette « masse » a grossi considérablement et s’étale tout autour du conduit auditif. Les propriétaires n’ont noté aucune répercussion sur l’état général. Le vétérinaire traitant a réalisé une ponction 4 jours avant de référer ce cas et ceci n’a montré que des hématies et quelques cellules épithéliales.

Examen clinique

Lors de sa présentation, la chienne est alerte. Son examen général est normal et elle ne présente pas de fièvre. Il n’y a aucune anomalie des nerfs crâniens. Une tuméfaction fluctuante est palpée tout autour du pavillon. Le conduit auditif ne peut être palpé mais est remplacé par un tube également fluctuant à la palpation de 2 à 3 cm de diamètre. La palpation n’est pas douloureuse pour l’animal. L’otoscopie montre que le conduit auditif externe vertical se termine par un cul de sac. Au fond de ce cul de sac, on note cependant une petite partie membraneuse qui contraste avec le cartilage environnant.

Examens complémentaires

À ce stade, le principal diagnostic est celui d’un abcès. L’absence de douleur et de température est néanmoins difficile à expliquer. Le reste du diagnostic différentiel comprend une effusion d’origine tumorale, un choléstéatome, un kyste d’origine inconnu ou un sialocoele de la glande parotide.

Une cytoponction de la « masse » révèle un liquide brunâtre avec des petits morceaux jaunâtres. La cytologie ne montre que peu de cellules épithéliales et pas de bactéries ou de neutrophiles ni même de cellules tumorales. Ce liquide a donc une origine cérumineuse très probablement. Une culture n’a pas mis en évidence de croissance bactérienne.

Un scanner a ensuite été réalisé. Il montre une collection liquidienne partant de la bulle tympanique droite. Cette collection est entourée d’une membrane plus dense. Une partie du kyste s’étend ventralement sous la bulle tympanique (Photo 1).

photo 1
Photo 1 : Au niveau de la bulle tympanique droite (à gauche sur l’image), on note une collection liquidienne qui s’étend sous la bulle tympanique.
 

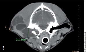
La collection qui fait 2 cm de diamètre à la base de l’oreille moyenne s’élargit en cône et vient envelopper le conduit auditif externe vertical (Photos 2 et 3).

photo 2 photo 3
Photo 2 et 3 : 2. Le kyste s’étend de la bulle tympanique et vient entourer le conduit auditif externe vertical.
Le kyste parait compartimenté mais ces images sont construites par la forme du kyste. 
3. Le diamètre du kyste depuis la bulle tympanique est de 2 cm.
 

La bulle tympanique est remplie avec un contenu isodense à celui de la collection liquidienne. Il n’y a aucune réaction osseuse autour de la bulle tympanique. La paroi de la bulle est plus fine que celle du côté gauche (Photo 4).

Il n’y a aucune inflammation autour du kyste ni aucune image compatible avec une agressivité du kyste dans les tissus environnants.

Photo 4 : On distingue nettement le conduit auditif gauche rempli d’air (à droite sur l’image).
La bulle tympanique droite est plus fine que la gauche.
 

Traitement

Compte tenu de l’absence de conduit auditif externe horizontal, il n’est pas possible de reperméabiliser le conduit restant. Une ablation totale du conduit auditif externe avec ostéotomie latérale de la bulle tympanique (teca-lbo) est décidée. Après dissection du conduit auditif externe vertical, le kyste est percé et laisse s’échapper le liquide cérumineux brunâtre (Photo 5).

Photo 5 : Dans les pinces d’allis, on tient ici le conduit auditif externe vertical disséqué.
Le kyste percé, on note le liquide brunâtre s’en échappant.
 

On parvient à isoler la membrane du kyste qui est ensuite disséquée jusqu’à la bulle tympanique (Photo 6). Durant la dissection, il est impératif de rester aussi près que possible de la membrane pour éviter de sectionner le nerf facial et les vaisseaux entourant la bulle tympanique (schémas A à C).

Photo 6 : Une fois tout le liquide aspiré, on distinque nettement la membrane kystique.
 
Schémas A à C
Schéma A -
Le nerf facial sort de la boite crânienne par le foramen stylomastoïdien, juste caudalement à la bulle tympanique. Ses branches se ramifient cranialement pour innerver la face.
Schéma B - Vue ventrale de la boite crânienne, rostral à droite. L’artère carotide interne passe contre la bulle tympanique, médialement.
Schéma C - Vue latérale de la boite crânienne. La bulle tympanique est entourée de vaisseaux sanguins qu’il faut prendre soin de ne pas léser.
 

Une fois la bulle tympanique atteinte, la membrane est enlevée entièrement (photo 7). L’ostéotomie de la bulle est réalisée sous microscope. Au delà de l’agrandissement apporté, cela permet d’amener une excellente source de lumière. Le méat acoustique externe est agrandi à la pince gouge et la bulle tympanique est curetée de tout le matériel qu’elle contient (photo 8).

 
Photo 7 et 8 : 7. Une fois le méat acoustique externe atteint, toute la membrane est enlevée en un seul bloc. 8. Vue microscopique pendant la chirurgie. La méat acoustique externe et la bulle tympanique ont été agrandis au rongeur pour nettoyer la bulle tympanique.
 

On prend bien garde d’éviter de gratter la portion dorsomédiale représentée par le promontoire qui abrite l’oreille interne (schéma D).

Un abondant rinçage est réalisé et la plaie est refermée sans utiliser aucune sorte de drain. Après la chirurgie le conduit auditif externe a été ouvert pour explorer le cul de sac. Ceci confirme la présence d’une partie plus fragile au centre du cul de sac laissant penser qu’un ostium était présent auparavant et que pour une raison inconnue il s’est fermé et a ainsi entraîné la formation du kyste (photo 9).

Schéma D : Coupe d’une bulle tympanique. L’oreille interne dont on ne voit que la cochlée sur cette coupe se situe à l’intérieur du promontoire.
Cette région est à préserver durant le curetage de la bulle tympanique afin d’éviter les lésions neurologiques.
 
Photo 9 : Après la chirurgie, le conduit auditif externe vertical a été incisé. Au niveau du cul de sac, on note une partie plus fine au centre (en rose plus foncé que le cartilage sur l’image).
 

Le lendemain, la chienne a été rendue avec une collerette pendant 15 jours, de l’amoxicilline et de l’acide clavulanique pendant 10 jours, du carprofène pendant 10 jours et des larmes artificielles pendant au moins 15 jours. Les larmes artificielles sont un principe de précaution pour éviter les ulcères en cas de lésion du nerf facial et par conséquence une hypomotilité des paupières. Cette chienne ne présentait cependant pas d’hypomobilité évidente des paupières après la chirurgie. Un contrôle à 6 mois confirme qu’aucun gonflement n’est présent et que la chienne n’a eu aucune récidive.

Le « kyste cérumineux » n’est pas une entité décrite mais plutôt un terme que nous avons utilisé qui décrit le mieux la lésion observée. En effet, une atrésie congénitale du conduit auditif externe a déjà été décrite (Schmidt, 2007).

Dans cette publication, l’atrésie est associée avec le même type de collection liquidienne brunâtre mais cette collection est cantonnée dans la partie du conduit auditif externe horizontal toujours présente. De même le chien avait seulement 9 mois lorsqu’il a développé des signes cliniques.

Il existe donc deux hypothèses concernant notre cas : par analogie avec ce cas décrit, on peut penser que l’atrésie est congénitale et que progressivement l’accumulation de ce fluide cérumineux a dilaté le conduit auditif externe horizontal. Notre bactériologie négative étaye cette théorie. La théorie mise en avant par Schmidt et al. (2007) est la suivante : soit le liquide provenant de l’oreille moyenne n’a jamais été en contact avec l’extérieur (atrésie congénitale) et il est stérile, soit l’atrésie n’a pas toujours été et le liquide doit être infecté car un conduit auditif n’est jamais stérile. En ce qui nous concerne, même si le liquide était stérile, il est cependant difficile d’expliquer pourquoi l’accumulation de fluide n’a causé aucun signe clinique pendant 12 ans.

Deuxième hypothèse, nous ne sommes pas face à une atrésie congénitale mais simplement une sténose sévère du canal (possiblement congénitale) qui a pendant plus de 10 ans permis une évacuation du cérumen et qui pour une raison inconnue a fini par s’occlure en emprisonnant le cérumen formé et ainsi créer la collection liquidienne. La nature stérile du liquide n’est pas en faveur de cette hypothèse comme expliqué ci-dessus. Néanmoins, la fermeture plutôt membraneuse du cul de sac du conduit auditif visible à l’otoscopie et le fait que les symptômes surviennent si tardivement la soutiennent.

D’autres types de lésions kystiques ont été décrits dans cette zone. Les granulomes à cholestérol sont des lésions bénignes, grandissant lentement faite d’un tissu inflammatoire avec des dépôts de cristaux de cholestérol (Riedinger et al., 2012). Les cholestéatomes ont l’apparence d’un kyste avec un épithélium kératinisé stratifié contenant des squames ; ils peuvent être acquis ou congénitaux (Hardie et al., 2008). La cytologie, l’origine ne provenant pas de la bulle tympanique et le caractère très peu agressif de notre lésion n’est pas compatible avec ces deux entités.

En ce qui concerne la technique sur ce cas, les avantages du scanner sont multiples. En premier lieu, c’est la méthode la plus précise pour explorer les bulles tympaniques (Dickie et al., 2003). Par ailleurs, contrairement à l’échographie, qui peut rester un moyen correct d’évaluer les bulles tympaniques, le scanner permet de déterminer précisément la topographie de la collection liquidienne par rapport aux structures adjacentes.

À la fin de la chirurgie, aucun drain n’a été mis en place.

En effet, une fois que la membrane entourant le kyste a été enlevée complètement, la plaie a été refermée comme celle d’une ablation du conduit auditif externe classique en prenant soin de l’hémostase et d’éviter les espaces morts. Il a été publié que l’utilisation d’un drain de Penrose ne permet pas d’obtenir des meilleurs résultats qu’une fermeture en première intention après ce type de chirurgie (Devitt C. et al., 1997).

En ce qui concerne l’antibiothérapie, les bonnes pratiques requièrent un antibiogramme réalisé durant la chirurgie afin d’orienter l’antibiothérapie. En effet, l’indication la plus fréquente de cette chirurgie est l’otite moyenne et externe et la chirurgie est contaminée dans la mesure où un conduit auditif n’est pas stérile, que son nettoyage préopératoire est difficile et que la bulle tympanique qui est ouverte durant la chirurgie ne peut pas être nettoyée. En attendant les résultats de l’antibiogramme il est conseillé de prescrire de l’amoxicilline et de l’acide clavulanique. En effet, des études montrent que les bactéries généralement cultivées après teca-lbo ne sont sensibles à la cefalexine que dans 26 à 70 % des cas (Vogel P. et al., 1999 ; Hettlich et al., 2005) alors que dans notre hôpital, 90 % des bactéries dans ce cas sont sensibles à l’amoxicilline et l’acide clavulanique.

On notera cependant que même si une étude montre que des bactéries persistent dans le site opératoire après un curettage et un « flushage » abondant (Hettlich et al., 2005), la diminution de la charge bactérienne après la chirurgie est en général suffisante pour que les défenses de l’organisme et une antibiothérapie raisonnable (pas d’association, pas d’antibiotique de dernière génération,…) suffisent à prévenir les risques d’infection. Ainsi, il n’est pas rare de réaliser des ablations totales du conduit auditif externe pour des otites à Pseudomonas multirésistants sans qu’aucune infection postoprératoire ne surviennent et ce sans utiliser d’autre antibiotique que l’amoxicilline et l’acide clavulanique.

La chienne n’a présentée aucune récidive depuis la chirurgie il y a 6 mois. Ce cas clinique illustre le fait que les propriétaires d’un animal avec une atrésie du conduit auditif doivent être prévenus que des complications peuvent apparaître. Dans certains cas l’atrésie peut être traitée (Schmidt et al., 2007) si le conduit auditif au-delà de l’atrésie est encore présent. Si le conduit auditif est absent, et si des signes cliniques apparaissent, la teca-lbo est curative. Dans tous les cas, un scanner des bulles tympaniques permet d’orienter au mieux les propriétaires. 

  1. Devit C., Seim H., Willer R., McPherron M., Neely M. Passive drainage versus primary closure after total ear canal ablation-lateral bulla osteotomy in dogs : 59 dogs (1985-1995). Veterinary Surgery. 1997. 26 : 210-216.
  2. Dickie A., Doust R., Cromatry L., Johnson V., Sullivan M., Boyd J. Comparison of ultrasonography, radiography and a single computed tomography slice for the identification of fluid within the canine tympanic bulla. Research in Veterinary Science. 2003. 75 : 209-216.
  3. Hardie E., Linder K., Pease A. Aural cholesteatoma in twenty dogs. Veterinary Surgery. 2008. 37 : 763-770.
  4. Riedinger B., Albaric O., Gauthier O. Cholesterol granuloma as long-term complication of total ear canal ablation in a dog. Journal of Small Animal Practice. 2012. 53 : 188-191.
  5. Schmidt K., Piaia T., Bertolini G., Delorenzini D. External auditory canal atresia of probable congenital origin in a dog. Journal of Small Animal Practice. 2007. 48 : 233-236.
  6. Vogel P., Komtebedde J., Hirsh D., Kass P. Wound contamination and antimicrobial susceptibility of bacteria cultured during total ear canal ablation and lateral bulla osteotomy in dogs. Journal of the American Veterinary Medicine Association. 1999. 214 : 1641-1643.
Retour

Informations pratiques

CHV des Cordeliers - Ouverture 24h/24 et 7j/7

Retour
  • Lun
    Consultations de 08h à 19h +Urgences 24h/24
  • Mar
    Consultations de 08h à 19h +Urgences 24h/24
  • Merc
    Consultations de 08h à 19h +Urgences 24h/24
  • Jeu
    Consultations de 08h à 19h +Urgences 24h/24
  • Vend
    Consultations de 08h à 19h +Urgences 24h/24
  • Sam
    Consultations de 08h à 19h +Urgences 24h/24
  • Dim
    Urgences 24h/24
Retour

Adresse de la clinique

35 Av. du Maréchal Joffre 77100 MEAUX
retrouvez-nous sur Google Maps