Tumeur du vestibule

chez une golden retriever

Sommaire

  • Une golden retriever femelle non stérilisée de 11 ans est vue en consultation suite à un saignement particulièrement abondant pendant ses chaleurs.
  • L’examen clinique révèle l’existence d’une masse dans le vestibule. Il s’agissait d’un leïomyome pour l’exérèse duquel un double abord a été réalisé.

Auteur : Dr. S. Etchépareborde 20-12-2012
Centre Hospitalier Vétérinaire des Cordeliers, 29-35 avenue du Maréchal Joffre, 77100 Meaux.
E-mail : setchepareborde@chvcordeliers.com

Tumeur du vestibule chez une golden retriever

Lors de la consultation, la chienne est alerte et présente des réactions normales. L’historique de la chienne n’a pas mis en évidence de conséquences à relier à l’épisode de saignement. En ce qui concerne l’anamnèse, la chienne est en chaleur depuis quelques jours et deux jours avant sa consultation, elle a perdu soudainement une « mare » de sang. Depuis cette épisode, seuls persistent les saignement décrits comme normaux par le propriétaire pour une chienne en chaleur.

L’examen général ne révèle pas d’anomalie. Le toucher rectal permet de palper une masse dans la filière pelvienne. Cette masse peut aussi être palpée par toucher vaginal et visualisée à l’aide d’un spéculum : on ne peut discerner qu’une partie de la masse qui provient du plafond du vestibule.

Diagnostic différentiel

À ce stade et compte tenu de l’âge du chien et du fait qu’elle ne soit pas stérilisée, le diagnostic différentiel est celui d’une tumeur vaginale. 86 % de ces tumeurs sont des tumeurs bénignes des muscles lisses : leïomyome, fibroleïomyome, fibrome et polype.

D’autres tumeurs bénignes ont été décrites en cette localisation cependant : lipome, adénome sébacé, histiocytome fibreux, myxome et mélanome bénin. La tumeur maligne la plus fréquente est le leiomyosarcome mais anecdotiquement, adenocarcinome, carcinome épidermoïde, hemangiosarcome, ostéosarcome et mastocytome ont aussi été décrits.

Examens complémentaires

Les prises de sang réalisées n’ont révélé aucune anomalie biochimique ou hématologique. Les temps de coagulation étaient normaux.

Un examen échographique a été entrepris pour visualiser si la masse s’étendait jusqu’à l’abdomen et pour évaluer l’état des nœuds lymphatiques sous lombaires. La masse n’était pas visible par échographie (la portion dans la filière pelvienne étant cachée par de l’os) et les ganglions sous lombaires étaient de taille normal et d’aspect non modifié.

Le reste de l’examen de la cavité abdominale était normal.

À noter qu’une échographie transrectale aurait permis de visualiser la masse dans son entièreté.
À cet examen a été préféré un scanner. Dans un premiers temps, le scanner du thorax a permis de confirmer l’absence de métastases pulmonaires puis un scanner de la région lombaire a permis de visualiser l’extension de la masse ainsi que ses rapports avec les tissus avoisinants (photos 1 à 3).

photo 1
Photo 1 – Coupe transversale au scanner de la masse juste en arrière du bassin. Ventralement à la masse, on aperçoit un petit point noir qu’il est l’urètre.
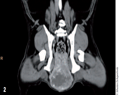
photo 2
Photo 2 – Coupe longitudinale de la masse envahissant le bassin.
photo 3
Photo 3 – Coupe transversale de la masse où l’on aperçoit le colon comprimé dorsalement. La masse mesurait 10 cm de long.

Une sonde urinaire avait été mise en place préalablement pour repérer l’urètre au scanner. La masse mesurait 10 cm de long sur un diamètre d’environ 5 cm. Aucune des structures environnantes ne semblaient envahies par la masse.

Traitement

À ce stade, la question d’une biopsie pour connaître exactement la nature de la masse se pose. Pour plusieurs raisons celle-ci n’a pas été réalisée. D’abord comme expliqué ci dessus, la plupart de ces masses sont bénignes. Ensuite, l’absence d’invasion des tissus autour du vagin permettait de faire une exérèse large de la tumeur.
Et pour finir, dans le cas où la tumeur serait maligne, une chirurgie s’imposait à titre palliatif pour éviter une obstruction du vagin dans un premier temps puis une obstruction de la filière pelvienne par la suite avec probable ténesme et dysurie associés.

Après discussion avec le propriétaire, la chirurgie a été envisagée.

Pour les petites masses dans le vestibule, une épisiotomie suffit. Pour atteindre des masses plus profondes, un abord ventral de la filière pelvienne est décrit. Il nécessite un ostéotomie des pubis et des tables ischiales afin d’enlever la symphyse pelvienne, le fragment d’os étant resuturé en place à la fin de la chirurgie.
Cet abord est néanmoins traumatique, il nécessite la désinsertion des muscles adducteurs et graciles ainsi que d’un des deux muscles obturateurs internes et il est associé avec une douleur postopératoire non négligeable ainsi qu’à des difficultés à se déplacer jusqu’à la cicatrisation des adducteurs.
Nous avons donc opté pour une approche combinée d’une laparotomie et d’une épisiotomie.

Dans un premier temps, une laparotomie exploratrice permet de confirmer l’absence de métastase dans l’abdomen. Une ovariectomie est ensuite réalisée en prolongeant la dissection de l’utérus puis du vagin aussi caudalement que possible dans le bassin (photos 4 et 5).

photo 4
Photo 4 – Photographie intraopérative. La tête du chien est vers la gauche. La vessie est retournée et tirée caudalement au maximum pour faciliter la dissection.
photo 5
Photo 5 – Le vagin est disséqué aussi caudalement que possible et sa vascularisation est identifiée et ligaturée.

Il est très important de préserver les structures dorsolatérales à l’urètre afin d’éviter toute nécrose ou incontinence ultérieure. Pour faciliter cette manipulation, une sonde urinaire est placée préalablement à la chirurgie. Les artères et veines vaginales sont identifiées puis ligaturées. Cette dissection minutieuse est grandement facilitée par l’aide d’une pince à fusion tissulaire (Ligasure) (photo 6).

photo 6
Photo 6 – Pinces de fusion tissulaire (Ligasure). Sur le bout de la pince, on apercçoit les capteurs permettant de déterminer quand la fusion tissulaire est optimale. La fente entre les capteurs permet le passage d’une lame qui coupe les tissus fusionnés, commandées par la gachette grise en avant de la poignée.

Une fois cette dissection terminée, le vagin est sectionné le plus caudalement possible et fermé à l’aide d’une ligature de gros diamètre. Un des longs brin de la ligature et envoyé à l’intérieur du vagin et sera récupéré plus tard par la vulve (photo 7).

Photo 7 – Suture en bourse du moignon vaginal. Un brin de la suture a été placé à l’intérieur du vagin.
photo 8
Photo 8 – Durant la même anesthésie, après le premier temps opératoire, l’animal est positionné avec les membres postérieurs qui pendent pour une approche par le vagin.

L’abdomen est refermé de manière conventionelle. L’animal est alors retourné et positionné sur la table avec les membres postérieurs qui pendent (photo 8).

Une asepsie est à nouveau réalisée et l’animal drappé pour une épisiotomie. Le vagin est abordé par cette voie.

La masse est alors nettement identifiée ainsi que le méat urinaire d’où sort la sonde urinaire. La brin de la ligature placé par l’abdomen repose aussi dans le vestibule et permet, par traction, de manipuler aisément la partie la plus cräniale du vagin (photo 9).

photo 9
Photo 9 – Après épisiotomie, on peut manipuler le moignon utérin en tirant sur la suture préalablement passée durant le temps abdominal au moment de la suture du moignon vaginal.

Le vagin peut ainsi continuer à être disséqué en gardant une marge de tissu autour du méat urinaire (photo 10).

photo 10
Photo 10 – La dissection du vagin est continuée par cet abord.
photo 11
Photo 11 – Tout le vagin a été retiré et ne reste que le vestibule avec le méat urinaire.
photo 12
Photo 12 – Le vestibule est reconstruit à l’aide de surjets simples résorbables.
photo 13
Photo 13 – L’épisiotomie est refermée classiquement en 3 couches : surjet dans la muqueuse, dans le muscle puis la peau.
photo 14
Photo 14 – Aspect de la vulve après la chirurgie.

Après ressection, le vestibule est refermée par un surjet simple et des sutures résorbables puis l’épisiotomie est refermée en 3 plans (photos 11 à 14). La masse a été envoyée au laboratoire pour analyse histologique.

Soins postopératoires

La sonde urinaire a été laissée en place après la chirurgie.
Un essai de retrait a été tenté 48 heures après la chirurgie mais l’œdème postopératoire empêchait encore la chienne d’uriner. Une nouvelle sonde urinaire a donc dû être remise en place pour 48 heures, moment auquel l’animal pouvait uriner toute spontanément La douleur postopératoire a été traitée par des injections de morphine (0,2 à 0,4 mg / kg toutes les 4 heures) pendant 3 jours.

Suite au développement d’une diarrhée après la chirurgie, les AINS ont dû être arrêtés aussitôt.

La chienne est donc rentrée à la maison 4 jours après la chirurgie sans aucune difficultés pour se déplacer (comme cela aurait été le cas avec une ostéotomie du bassin) et en urinant normalement. Les sutures cutanées abdominales et de l’épisiotomie ont été enlevées 15 jours plus tard sans que des problèmes de cicatrisation ne soient rencontrés.

L’histopathologie a révélé un leiomyome avec des marges de retrait saines. Aucune anomalie n’a été reportée depuis que la chienne a été vue pour son retrait des fils.

Retour

Informations pratiques

CHV des Cordeliers - Ouverture 24h/24 et 7j/7

Retour
  • Lun
    Consultations de 08h à 19h +Urgences 24h/24
  • Mar
    Consultations de 08h à 19h +Urgences 24h/24
  • Merc
    Consultations de 08h à 19h +Urgences 24h/24
  • Jeu
    Consultations de 08h à 19h +Urgences 24h/24
  • Vend
    Consultations de 08h à 19h +Urgences 24h/24
  • Sam
    Consultations de 08h à 19h +Urgences 24h/24
  • Dim
    Urgences 24h/24
Retour

Adresse de la clinique

35 Av. du Maréchal Joffre 77100 MEAUX
retrouvez-nous sur Google Maps