Quel est votre diagnostic ?

Sommaire

  • Le diagnostic étiologique d’une épistaxis est vaste.
  • Souvent la combinaison de plusieurs examens complémentaires facilite le diagnostic et permet un bilan d’extension rigoureux.

Auteurs : Drs. C. Bille et É. Bomassi 16-06-2008
Centre Hospitalier Vétérinaire des Cordeliers, 29 avenue du Maréchal Joffre, 77100 Meaux.
E-mail : cbille@chvcordeliers.com
Cet article a été publié dans : PratiqueVet (2008) 43 512-514

Objectifs pédagogiques

Connaître les limites des examens complémentaires face à une suspicion d’atteinte tumorale des cavités nasales.

Crédit de formation continue

La lecture de cet article ouvre droit à 0,05 CFC. La déclaration de lecture, individuelle et volontaire, est à effectuer auprès du CNVFCC. 

Quel est votre diagnostic ?

photo 1
Photo 1 Masse tissulaire (flèche bleue) observée dans le cornet nasal droit (flèche jaune) lors de la rhinoscopie.

Un chien Labrador mâle, âgé de 12 ans, pesant 33 kg, est présenté pour exploration d’une épistaxis, évoluant depuis 2 semaines.

Le chien présente 5 ou 6 crises d’éternuements par jour depuis 2 mois, associées à un jetage muco-purulent unilatéral droit. L’instauration d’un traitement antibiotique (marbofloxacine, 2 mg/kg/j en 1 prise) et anti-inflammatoire (prednisolone, 1,2 mg/kg/j en 1 prise) provoque la rétrocession du jetage mais pas des éternuements.

1 – Réaliser un examen clinique rigoureux

L’état général est satisfaisant. Un bombement non douloureux est visible sur le chanfrein, en regard de la cavité nasale droite.

L’examen de la cavité buccale ne montre aucune anomalie.

Les hypothèses diagnostiques sont une tumeur de la cavité nasale, un corps étranger, une aspergillose naso-sinusale ou une rhinite inflammatoire.

Compte tenu de l’âge de l’animal, du jetage unilatéral et de la déformation du chanfrein, l’hypothèse privilégiée est celle d’une tumeur.

2 – Effectuer des examens complémentaires

Analyses sanguines

Les concentrations de phosphatases alcalines (405 UI/L, Valeurs Usuelles : 23-212) et d’alanine amino-transférase (217 UI/L, VU : 10-100) sont élevées par rapport aux limites usuelles.

Ces valeurs pourraient être mises en relation avec la corticothérapie que l’animal a reçu. Le reste de l’examen biochimique est dans la limite des valeurs usuelles. L’analyse hématologique ne montre aucune anomalie.

Rhinoscopie

La rhinoscopie montre, dans le cornet nasal droit, une volumineuse masse à contours irréguliers, hyperhémiée (Photo1). Sa manipulation provoque des saignements. Des biopsies sont réalisées.

Examen tomodensitométrique

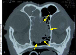
Un bilan d’extension local est réalisé à l’aide d’un examen tomodensitométrique des cavités nasales (Photos 23 et 4).

Un envahissement des cavités nasales droite et gauche par une masse à prise de contraste hétérogène est observé. Le bulbe olfactif et le lobe frontal droit sont envahis. Des images lytiques des
cornets nasaux, volutes éthmoïdales, septum, vomer, lame criblée et os frontal sont visualisées.

photo 2 photo 3 photo 4

Photo 2 Examen tomodensitométrique. Noter l’envahissement bilatéral des cavités nasales (flèches).

Photo 3 Examen tomodensitométrique. Le reformatage dorsal permet de visualiser l’extension de la tumeur (flèches).

Photo 4 Examen tomodensitométrique. Noter l’effondrement de la lame criblée de l’ethmoïde par la tumeur nasale (flèches).

Analyse histologique

L’analyse histologique des biopsies montre la présence d’un carcinome épidermoïde à localisation nasale moyennement différencié.

2 – Le diagnostic est…

Le diagnostic est celui d’un carcinome épidémoïde envahissant des cavités nasales.

4 – Évolution et suivi

Proposer un traitement

Seul un traitement palliatif peut être mis en place. Dans l’objectif de réduire la taille de la tumeur, une radiothérapie est proposée mais, compte tenu des risques, les propriétaires la déclinent.

L’administration de marbofloxacine est poursuivie.

Environ 2 semaines après la consultation initiale, l’animal est présenté. Son état général s’est dégradé depuis 48 heures.
Il est abattu et dysorexique. L’épistaxis droite est abondante et ne coagule pas. Elle gène considérablement la respiration du chien.

Les propriétaires décident son euthanasie.

Une tumeur de diagnostic tardif

Une présentation clinique spécifique

Les cancers de la cavité nasale représentent environ 1 % des atteintes néoplasiques du Chien. Le plus représenté est l’adénocarcinome (45 à 76 %). Le carcinome épidermoïde ne représente que 3 à 5 % de ces cancers 1,2.

L’âge moyen des animaux atteints est de 11 ans. Il n’y a pas de prédisposition sexuelle.
Les chiens de grand format ainsi que les dolichocéphales semblent plus atteints.
Les signes cliniques les plus fréquents sont l’épistaxis (77 %), les éternuements (67 %), le jetage, muqueux à muco-purulent (56 %), la déformation faciale (40 %) et les diffiultés respiratoires (27 %) 1.

Les tumeurs nasales sont agressives localement et envahissent précocement les tissus mous et les os adjacents, justifiant le recours à l’examen tomodensitométrique pour le bilan d’extension.
Les essaimages à distance sont rares au moment du diagnostic et concernent les ganglions rétropharyngiens médiaux et les poumons 1,3,4.

Théon et al. 4 considèrent que les animaux atteints : d’une tumeur unilatérale ou bilatérale confinée aux cavités nasales comme des stades 1 et ceux d’une tumeur bilatérale impliquant les sinus frontaux et présentant une ostéolyse comme des stades 2.

L’épistaxis et un facteur pronostique péjoratif

La durée médiane de survie est de 88 jours contre 224 en son absence 1.

Il semblerait logique de penser que la durée médiane de survie des animaux inclus dans tous les stades 1 est plus longue que celle des animaux de stades plus élevés. Certains auteurs ont montré qu’une corrélation pouvait être établie entre le bilan d’extension local et la durée médiane de survie pour les adénocarcinomes 2. Cependant, à ce jour, cette relation n’a pas été vérifiée pour les carcinomes épidermoïdes 1-3, 6,7.

Des données bibliographiques hétérogènes, peu comparables, permettent difficilement d’établir un pronostic. La faible incidence des tumeurs de la cavité nasale rend le recrutement et la constitution de séries de taille importante malaisé 1,2,7.

Une étude menée sur 139 chiens atteints de carcinomes nasaux, tous types confondus, montre que la médiane de survie sans traitement est de 95 jours. Les taux de survie à 1 et 2 ans sont de 12 % et 2 % respectivement 1.

Un traitement unissant des modalités thérapeutiques distinctes Enfin, l’efficacité de la chimiothérapie seule est limitée et ne peut s’envisager qu’en traitement palliatif de tumeurs non résécables
1,6,8.

La résection de la tumeur, lorsqu’elle est possible, peut soulager l’animal mais n’améliore sa survie qu’en associant une radiothérapie 9.

La radiothérapie est rarement curative. Une équipe a traité 6 carcinomes épidermoïdes non kératinisés par irradiation au Cobalt 60.
La durée médiane de survie était de 165 jours 7.

Les meilleurs résultats seraient obtenus par l’utilisation conjointe des différentes modalités thérapeutiques. Sur une série de 51 chiens atteints de cancers de la cavité nasale, tous types confondus, la radiothérapie (accélérateur linéaire) associée à un dispositif de libération lente de cisplatine a allongé la durée de vie médiane à 474 jours 6.

Il a été montré, par des méthodes d’immunohistochimie et d’immunofluorescence, que 87 % des carcinomes nasaux, tous sous-types confondus, expriment la cyclo-oxygénase 2 10.
Ces observations laissent penser que les anti-inflammatoires non stéroïdiens (AINS) pourraient jouer, à l’avenir, un rôle dans le traitement. Cependant, les résultats concernant l’utilisation des AINS ne permettent pas d’en recommander l’utilisation 18.

  • Les tumeurs des cavités nasales sont rares. Elles représentent 1 % des atteintes néoplasiques chez le Chien.
  • Les tumeurs nasales sont agressives localement. Elles envahissent souvent les tissus mous et les os adjacents au moment du diagnostic.
  • L’épistaxis est un facteur pronostique péjoratif.
  • Le traitement de choix est la radiothérapie.
  1. Rassnick KM et coll (2006). Evaluation of factors associated with survival in dogs with untreated nasal carcinomas : 139 cases (1993-2003). J Am Vet Med Assoc 1 : 229(3) : 401-6.
  2. Kondo Y et coll (2008). Prognosis of canine patients with nasal tumors according to modifi ed clinical stages based on computed tomography : a retrospective study. J Vet Med Sci 70(3) : 207-12.
  3. Rogers KS et coll (1996). Squamous cell carcinoma of the canine nasal cavity and frontal sinus: eight cases. J Am Anim Hosp Assoc 32(2) : 103-10.
  4. Théon AP et coll (1993). Megavoltage irradiation of neoplasms of the nasal and paranasal cavities in 77 dogs. J Am Vet Med Assoc 202(9) : 1469-75.
  5. Adams WM et coll (1987). Radiotherapy of malignant nasal tumors in 67 dogs. J Am Vet Med Assoc 191(3) : 311-5
  6. Lana SE et coll (2004). Use of radiation and a slow-release cisplatin formulation for treatment of canine nasal tumors. Vet Radiol Ultrasound 45(6) : 577-81.
  7. Correa SS et coll (2003). Effi cacy of cobalt-60 radiation therapy for the treatment of nasal cavity nonkeratinizing squamous cell carcinoma in the dog. J Am Anim Hosp Assoc 39(1) : 86-9.
  8. Langova V et coll (2004). Treatment of eight dogs with nasal tumours with alternating doses of doxorubicin and carboplatin in conjunction with oral piroxicam. Aust Vet J 82(11) : 676-80.
  9. Lascelles BD et coll (2000). Squamous cell carcinoma of the nasal planum in 17 dogs. Vet Rec 147(17) : 473-6.
  10. Borzacchiello et coll (2004). Expression of cyclooxygenase- 1 and -2 in canine nasal carcinomas. J Comp Pathol 131(1) : 70-6.
Retour

Informations pratiques

CHV des Cordeliers - Ouverture 24h/24 et 7j/7

Retour
  • Lun
    Consultations de 08h à 19h +Urgences 24h/24
  • Mar
    Consultations de 08h à 19h +Urgences 24h/24
  • Merc
    Consultations de 08h à 19h +Urgences 24h/24
  • Jeu
    Consultations de 08h à 19h +Urgences 24h/24
  • Vend
    Consultations de 08h à 19h +Urgences 24h/24
  • Sam
    Consultations de 08h à 19h +Urgences 24h/24
  • Dim
    Urgences 24h/24
Retour

Adresse de la clinique

35 Av. du Maréchal Joffre 77100 MEAUX
retrouvez-nous sur Google Maps