Tumeur splénique chez un lapin de compagnie
Un lapin mâle non stérilisé de 7 ans est présenté en consultation pour une visite de routine dans le cadre d’un suivi de maladie dentaire.
Un abcès dentaire a été traité chirurgicalement 5 ans auparavant et n’a pas montré de récidive jusqu’à présent.
Des visites régulières tous les 4 à 6 mois sont effectuées en vue d’une palpation de la mâchoire et d’un examen de la cavité buccale à l’aide d’un otoscope vidéo.
Le lapin apparaît en bonne santé et aucune altération de son état général n’est signalée par le propriétaire.
Durant l’examen clinique, une masse abdominale est décelée à la palpation.

Photo 1. Distension abdominale (photo réalisée après tonte).
Cas clinique
Examen clinique
L’examen dentaire montre une malocclusion modérée sans pointe dentaire et une déformation mandibulaire minime en regard du site de l’abcès dentaire traité dans le passé.
Ces anomalies sont stables par rapport aux précédentes visites.
Durant l’examen clinique, une masse abdominale crâniale et ventrale est repérée à la palpation (Photo 1).
Elle présente une forme allongée selon un axe perpendiculaire à celui du corps et un contour régulier. Ses dimensions sont approximativement 10 x 4 cm. La palpation est non douloureuse.
L’estomac est souple et de taille normale.
Les deux reins sont repérés à la palpation et semblent normaux.
Le reste de l’examen clinique est normal.
Hypothèses diagnostiques
Les hypothèses diagnostiques concernant une masse abdominale incluent une organomégalie (foie, rein, rate, ganglion, tube digestif), un granulome ou un abcès intra-abdominal.
La localisation crâniale et l’aspect régulier de la masse peuvent être évocateurs d’une torsion de lobe hépatique parfois décrite chez le Lapin mais aucune altération d’état général, habituellement présente dans cette affection, n’est observée.
Examens complémentaires
Des radiographies et une échographie abdominale sont réalisées.
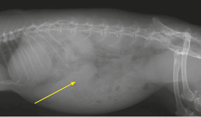
- La radiographie montre une masse abdominale non identifiable.
Elle est caudo-ventrale au foie et ne semble pas en continuité avec celui-ci (Photo 2).
Aucune métastase pulmonaire ou osseuse d’une éventuelle néoplasie n’est mise en évidence.
- Le bilan échographique conclut à une importante splénomégalie (environ 10 cm de long sur 2 cm d’épaisseur) avec un liseré hypoéchogène en périphérie.
Le reste de l’examen est dans la normalité. Les hypothèses de néoplasie splénique ou d’hyperplasie réactionnelle (bien que non décrite chez le Lapin de compagnie) sont formulées.
Une cytoponction échoguidée n’a pas été réalisée mais aurait pu être intéressante.
- Un bilan sanguin biochimique et hématologique et un frottis sanguin sont réalisés en complément de l’imagerie médicale et ne révèlent aucune anomalie.

Photo 2. Radiographie abdominale de profil, une masse homogène est observable dans l’abdomen crânial, cranio-caudalement au foie (flèche). Aucune métastase d’une éventuelle néoplasie n’est observable en région pulmonaire ou sur le squelette.
Traitement
Une splénectomie est pratiquée en accord avec le propriétaire en raison de la taille très inhabituelle de l’organe et du risque tumoral.
La technique chirurgicale débute par une incision de la paroi abdominale médiale sur 10 cm et une extériorisation délicate de la rate (Photo 3)

Photo 3. Temps peropératoire et observation de la splénomégalie.
Une masse correspondant probablement à un nœud lymphatique et située sur le pédicule de la rate très proche de celle-ci est repérée et retirée en même temps que la rate.
Des ligatures de la vascularisation sont posées avant son incision, le contrôle de l’hémostase et le retrait de l’organe (Photo 4).
Une inspection visuelle de la cavité abdominale et une palpation douce du mésentère et des ganglions repérés tels que le ganglion mésentérique sont effectuées et ne révèlent aucune anomalie.
La fermeture de la paroi abdominale est classique en trois plans, musculaire, sous-cutané et cutané.

Photo 4. Pièce d’exérèse après splénectomie : une masse ronde est observée à la base de celle-ci, l’analyse histopathologique conclut à un ganglion (flèche). Une splénomégalie conséquente mais de déformation majeure est remarquée.
Diagnostic définitif et évolution
La convalescence se passe bien et le lapin est rendu à ses propriétaires le lendemain de l’intervention.
L’analyse histopathologique conclut à un lymphome splénique diffus de haut grade. Le parenchyme splénique est sévèrement infiltré par une prolifération densément cellulaire de plages de cellules rondes à cytoplasme peu abondant et à noyau rond fortement nucléolé.
Quelques cellules montrent une multinucléation. Les mitoses sont fréquentes (12/ champs x 400) et l’anisocytose et l’anisocaryose sont marquées (Photo 5).

Photo 5. Vue microscopique (HE, grossissement x 40) d’une coupe histologique de la rate. Le parenchyme est sévèrement infiltré par une prolifération densément cellulaire de plages de cellules rondes à cytoplasme peu abondant. Les mitoses sont fréquentes et l’anisocytose et l’anisocaryose sont marquée.
Le stroma contient de multiples petits amas de petits lymphocytes matures.
Une prolifération tumorale identique à celle de la rate touche le nœud lymphatique retiré en même temps que la rate.
Les anticorps classiquement utilisés en immunohistochimie chez le Chien et le Chat sont originaires de Lapin et ne peuvent donc être utilisés dans cette espèce en raison d’une réaction systématique.
L’immunophénotypage n’a donc pas été possible dans notre cas, notre laboratoire ne disposant pas d’anticorps anti-B et anti-T produits chez d’autres espèces que le Lapin.
Une échographie de contrôle, un examen sanguin hématologique et un frottis sanguin sont réalisés 3 et 7 mois après l’intervention.
Seule une adénomégalie mésentérique modérée (5,8 x 7,3 x 7,9 mm) puis plus importante (4,4 x 7 x 12,4 mm) est révélée.
Une laparotomie en vue d’une biopsie est réalisée 7 mois après la première intervention.
Un lymphome ganglionnaire de haut grade de morphologie similaire au lymphome préalablement diagnostiqué dans la rate est mis en évidence à l’examen histologique.
Une évolution avec atteinte locorégionale est constatée mais sans évolution vers une forme multicentrique.
Le lapin est toujours vivant 17 mois après la consultation ayant mis en évidence la masse abdominale et ne présente toujours aucun symptôme ni complication.
Les propriétaires ont refusé un traitement en chimiothérapie.