La cystocentèse
Il existe plusieurs méthodes pour récolter des urines : miction spontanée, taxis externe, sondage, cystocentèse.
La cystocentèse est la méthode de choix pour la recherche d’une infection du tractus urinaire par examen bactériologique puisqu’elle permet d’éviter la contamination endogène du prélèvement.
Par ailleurs, elle limite le risque d’infection ascendante de l’appareil urinaire dû au sondage urinaire. Elle peut aussi faire partie du traitement médical de certaines affections (obstruction urétrale et sondage rétrograde impossible par exemple).
Une cystocentèse est réalisable sur un animal vigile. Une tranquillisation peut être nécessaire sur les animaux peu coopératifs. L’animal peut être placé en décubitus dorsal, latéral ou debout.
Un contrôle échoguidé en facilite la réalisation mais n’est pas indispensable.
Matériel nécessaire
Matériel nécessaire à la préparation :
- tondeuse
- compresses
- solution antiseptique
Matériel de prélèvement :
- seringue de 5 ou 10 mL
- aiguille de 22G
Matériel de recueil et d’analyse dépendant des cas :
- éventuellement, un échographe

Photo 1 - Préparation
La zone est préférentiellement tondue et désinfectée.

Photo 2A - Cystocentèse classique
La vessie est palpée puis immobilisée à travers et contre la paroi abdominale d’une main sans pression excessive. Le remplissage de la vessie, la taille de l’animal et son embonpoint déterminent la diffi culté du geste.

Photo 2B
L’autre main sert à introduire l’aiguille de 22G montée sur la seringue. Il faut tenir la seringue de manière à pouvoir mobiliser le piston d’une seule main.

Photo 2C
L’aiguille est introduite au milieu de la vessie, obliquement avec un angle de 45° en direction du trigone vésical.
La ponction se fait sur la ligne médiane chez le chat et chez la chienne.
La ponction se fait sur la ligne paramédiane chez le chien mâle.

Photo 2D
Une aspiration douce est effectuée, puis l’aiguille est retirée

Photo 3A
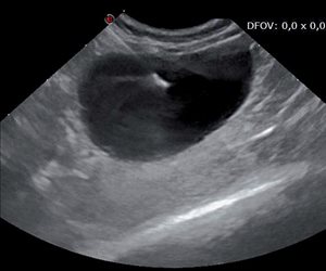
Un contrôle échoguidé facilite la réalisation du geste. La vessie est repérée par échographie ; son niveau de remplissage est estimé.

Photo 3B
L’aiguille est introduite crânialement à la sonde échographique, dans le même plan que celle-ci et selon le même principe que précédemment.

Photo 3C
L’échographie permet de visualiser le trajet de l’aiguille et de confi rmer la présence de son extrémité dans la lumière vésicale.

Photo 4 - Analyse d'urines
Les urines ainsi recueillies peuvent notamment être transférées stérilement dans un tube sec ou un milieu de culture en vue d’un examen bactériologique.
Elles sont conservées au frais en attente du transport.
Des examens sur place (densité urinaire au réfractomètre, bandelette urinaire, examen du culot au microscope) peuvent aussi être réalisés.
Complications
Une micro- ou macrohématurie iatrogène est possible.
Des complications plus graves sont décrites mais restent très rares : rupture vésicale, lacération aortique…