Traitement chirurgical d’un calcul urétral chez un lapin de compagnie
- Son alimentation est constituée d’un mélange de graines bas de gamme, de foin et d’aliments frais (salade et pomme).
- La boisson est apportée par un biberon changé quotidiennement.
- L’examen clinique montre un lapin alerte, un abdomen modérément sensible et une vessie en réplétion, mais pas de globe vésical. Sa manipulation déclenche une miction spontanée sur la table de consultation. Une masse dure est palpable à la base du pénis. Le reste de l’examen clinique est normal.
Examens complémentaires
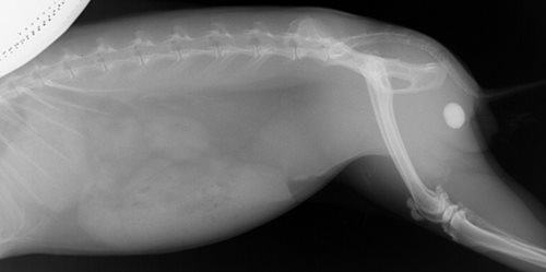
L’hématurie est confirmée par la réalisation d’une bandelette urinaire sur les urines émises. Une radiographie de la totalité de l’abdomen indique la présence d’un unique et volumineux calcul urinaire urétral (environ 2 cm). L’examen biochimique ne révèle pas d’anomalie.

Photo 1 : Radiographie mettant en évidence un calcul urétral.
Diagnostic et traitement
Le diagnostic est celui d’un calcul urinaire urétral à la base du pénis. Le lapin arrive étonnamment à uriner malgré une strangurie modérée. Un traitement chirurgical est entrepris. La prémédication anesthésique repose sur l’administration d’un morphinique (buprénorphine 0,05mg/kg par voie sous-cutanée ou SC), d’un anti-inflammatoire non stéroïdien (méloxicam 1 mg/kg SC), d’un préanesthésique (midazolam 0,5 mg/kg par voie intramusculaire) et d’un antibiotique (triméthoprime/ sulfadiméthoxine 30 mg/kg SC). L’induction se fait dans une cuve à induction à l’aide d’un mélange oxygène et isoflurane. Un relais au masque est effectué, puis un système supraglottique (Vgel®) est positionné pour le maintien de l’anesthésie. Une préparation chirurgicale aseptique est ensuite entreprise. L’évacuation du calcul par les voies naturelles ou sa rétropulsion dans la vessie en vue d’une cystotomie par instillation de sérum physiologique via une sonde urinaire à chat sont impossibles en raison de sa taille. Une urétrostomie est pratiquée sur un côté du pénis. Une incision cutanée dans l’axe de l’organe est réalisée sur 1 cm à sa base. Le praticien procède ensuite à une dissection mousse jusqu’à l’urètre en regard du calcul, puis à une incision de celui-ci en s’appuyant sur le calcul jusqu’à ce qu’il puisse être extrait. L’urètre et la peau sont suturés par des points simples respectivement à l’aide d’un fil monofilament résorbable déc. 4.0 et d’un fil tressé résorbable déc. 3.0. La diurèse reprend sans difficulté et le lapin reçoit des soins postopératoires classiques (antibiothérapie et analgésie).

Photo 2 : Incision latérale au pénis
Photo 3 : Extraction du calcul urétral
Photo 4 : Repérage de l’urètre avant sa fermeture
Photo 5 : Observation du calcul
©Toutes les photos de cet article ont été faites par le Dr. Christophe Bulliot et lui appartiennent.